Niềng răng cho người lớn 30–40 tuổi có hiệu quả không?
Niềng răng, niềng răng cho người lớn tuổi 30-40 thực sự là một khoản đầu tư sinh lời vượt bậc cho cả sức khỏe thể chất lẫn tinh thần. Đánh giá một cách công tâm và tích cực, thay vì lo lắng về rào cản tuổi tác, những bệnh nhân bước vào giai đoạn này hoàn toàn có thể đạt được kết quả khớp cắn hoàn hảo cùng nụ cười rạng rỡ nhờ sự phát triển vượt bậc của công nghệ nha khoa hiện đại. Quá trình này không chỉ kiến tạo lại vẻ đẹp thẩm mỹ sắc nét mà còn là chiếc chìa khóa vàng giúp bảo vệ hệ thống nhai toàn diện, ngăn ngừa triệt để các biến chứng nguy hiểm về sau như tiêu xương hay rụng răng sớm.
Dù thời gian điều trị có thể đòi hỏi sự kiên nhẫn cao hơn đôi chút so với thanh thiếu niên, nhưng nhờ vào tính kỷ luật tự giác và khả năng tài chính độc lập, người trưởng thành thường kiểm soát quá trình chỉnh nha một cách nhẹ nhàng, chủ động và trơn tru hơn rất nhiều. Hàng ngàn ca lâm sàng thực tế đã chứng minh một cách đầy thuyết phục rằng: quyết định gắn bó với các khí cụ chỉnh nha ở tuổi 30 hay 40 chính là một bước ngoặt mang tính cách mạng. Nó thay đổi hoàn toàn chất lượng cuộc sống, mang lại sự tự tin tuyệt đối trong giao tiếp, mở ra vô số cơ hội thăng tiến trong công việc và cuộc sống.
- I. Giới thiệu tổng quan về Niềng răng, niềng răng cho người lớn
- II. Niềng răng cho người lớn 30–40 tuổi có còn hiệu quả không?
- III. Những lợi ích vượt trội khi Niềng răng, niềng răng cho người lớn ở tuổi 30–40
- IV. Những khó khăn khi niềng răng cho người lớn
- V. Các phương pháp Niềng răng, niềng răng cho người lớn phù hợp và phổ biến
- VI. Chi phí Niềng răng, niềng răng cho người lớn 30–40 tuổi hiện nay
- VII. Quy trình Niềng răng, niềng răng cho người lớn chuẩn Y khoa
- VIII. Lời khuyên vàng từ chuyên gia khi Niềng răng, niềng răng cho người lớn tuổi 30–40
- IX. Có nên niềng răng ở tuổi 30–40 không? (Đánh giá & Kết luận)
- X. Câu hỏi thường gặp (FAQ) khi Niềng răng, niềng răng cho người lớn
I. Giới thiệu tổng quan về Niềng răng, niềng răng cho người lớn
Niềng răng, niềng răng cho người lớn hiện nay không còn là điều xa lạ khi ngày càng nhiều người trong độ tuổi 30–40 quan tâm đến thẩm mỹ và sức khỏe răng miệng. Tuy nhiên, liệu ở độ tuổi này việc chỉnh nha còn hiệu quả không? Thực tế, xã hội hiện đại liên tục đòi hỏi chúng ta phải không ngừng nâng cấp bản thân, và một nụ cười rạng rỡ chính là “vũ khí” giao tiếp sắc bén nhất. Khi bạn bước vào độ tuổi 30-40, sự nghiệp và các mối quan hệ xã hội của bạn đang ở giai đoạn phát triển rực rỡ nhất. Việc sở hữu một hàm răng khấp khểnh, hô móm hay thưa thớt vô tình tạo ra những rào cản tâm lý nặng nề, làm giảm sút sự tự tin khi bạn thuyết trình hay đàm phán. Nhiều người vẫn mang định kiến cho rằng chỉnh nha chỉ dành riêng cho lứa tuổi học đường. Thế nhưng, y khoa hiện đại đã bẻ gãy hoàn toàn quan niệm đó, mở ra cánh cửa hy vọng cho mọi lứa tuổi khao khát một diện mạo hoàn mỹ.
Niềng răng, niềng răng cho người lớn không chỉ là câu chuyện về làm đẹp mà còn liên quan đến chức năng ăn nhai và sức khỏe lâu dài. Bài viết này sẽ giúp bạn hiểu rõ khả năng, lợi ích và những lưu ý quan trọng khi niềng răng ở độ tuổi trưởng thành. Chúng tôi sẽ đi sâu phân tích một cách có hệ thống từ cơ sở khoa học của sự dịch chuyển răng, đến những giá trị sức khỏe vô giá mà bạn sẽ nhận được. Bằng giọng văn chân thực và khách quan, chúng tôi cam kết mang đến cho bạn một góc nhìn toàn diện nhất.
Liên hệ ngay với Nha khoa Trang Dung, nha khoa Trần Hưng Đạo, nha khoa Cầu Giấy, nha khoa Xuân Thuỷ, Cơ sở 1: 3B Trần Hưng Đạo, Q. Hai Bà Trưng, Hà Nội – Răng hàm mặt Trần Hưng Đạo Cơ sở 2: 3K Trần Hưng Đạo, Q. Hai Bà Trưng, Hà Nội Cơ sở 3: 38 Xuân Thủy, Quận Cầu Giấy, Hà Nội Website: https://nhakhoatrangdung.vn/ Fanpage: https://www.facebook.com/nhakhoatrangdung/ Hotline: 0888.155.000 – 0868 383 314 Email: nhakhoatrangdung.vn@gmail.com
II. Niềng răng cho người lớn 30–40 tuổi có còn hiệu quả không?
1. Cơ chế hoạt động của Niềng răng, niềng răng cho người lớn

Minh họa di chuyển răng trong niềng răng
Niềng răng, niềng răng cho người lớn hoạt động dựa trên nguyên lý dịch chuyển răng thông qua lực kéo ổn định lên xương hàm. Quá trình này hoàn toàn tuân theo các quy luật sinh học tự nhiên của cơ thể con người.
-
Cơ chế dịch chuyển răng: Bác sĩ chỉnh nha sẽ sử dụng hệ thống khí cụ (mắc cài, dây cung hoặc khay trong suốt) để tạo ra một lực đẩy hoặc lực kéo vô cùng nhẹ nhàng và liên tục. Khi lực này tác động lên thân răng, nó sẽ truyền xuống chân răng và gây áp lực lên màng nha chu. Ở vùng bị chịu áp lực, các tế bào hủy cốt bào sẽ kích hoạt để tiêu biến một phần mô xương, tạo khoảng trống cho răng di chuyển. Ngược lại, ở vùng bị kéo giãn, các tế bào tạo cốt bào sẽ sản sinh ra mô xương mới để đắp bồi và giữ vững chân răng ở vị trí mới.
-
Vai trò của xương hàm và mô nha chu: Đối với người trưởng thành, hệ thống xương hàm đã phát triển hoàn thiện và trở nên đặc cứng hơn. Tuy nhiên, cấu trúc màng nha chu vẫn giữ nguyên khả năng tái tạo sinh học. Chỉ cần màng nha chu khỏe mạnh, không bị viêm nhiễm, hệ thống răng của bạn vẫn sẽ dịch chuyển một cách an toàn và chính xác tuyệt đối theo đúng phác đồ điều trị.
👉Tìm hiểu thêm qua bài Niềng răng xong có bị chạy lại không?
2. Người lớn 30–40 tuổi có niềng răng cho người lớn được không?
Niềng răng, niềng răng cho người lớn ở độ tuổi 30–40 hoàn toàn có thể thực hiện nếu sức khỏe răng miệng đảm bảo. Bạn đừng bao giờ để con số tuổi tác cản bước hành trình tìm kiếm nụ cười hoàn hảo của mình.
-
Không có giới hạn độ tuổi tuyệt đối: Y học hiện đại khẳng định rằng, sinh lý dịch chuyển răng diễn ra ở người 40 tuổi, 50 tuổi hay thậm chí 60 tuổi hoàn toàn giống hệt như ở một thiếu niên 15 tuổi. Sự khác biệt duy nhất nằm ở tốc độ tái tạo tế bào xương chứ không nằm ở khả năng dịch chuyển. Rất nhiều bệnh nhân trung niên đã thực hiện thành công việc chỉnh nha và duy trì kết quả viên mãn suốt đời.
-
Điều kiện cần để niềng răng hiệu quả: Yếu tố tiên quyết để ca niềng răng thành công rực rỡ không phải là tuổi tác mà là nền tảng sức khỏe nha chu. Trước khi gắn khí cụ, bác sĩ yêu cầu bạn phải sở hữu một nền răng khỏe, hệ thống nướu hồng hào, không bị viêm nha chu nặng hay tiêu xương hàm quá mức. Bác sĩ sẽ điều trị triệt để mọi bệnh lý nền tảng để tạo ra một “mảnh đất” màu mỡ nhất cho răng dịch chuyển.
👉 Đọc thêm báo cáo từ Hiệp hội chỉnh nha thế giới (AAO)
3. Hiệu quả thực tế của Niềng răng, niềng răng cho người lớn
Niềng răng, niềng răng cho người lớn vẫn mang lại hiệu quả rõ rệt nhưng cần thời gian và kế hoạch điều trị phù hợp. Hiệu quả này không chỉ được đong đếm bằng cảm quan mà còn được minh chứng qua các chỉ số y khoa rõ ràng.
-
So sánh với niềng răng trẻ em: Thanh thiếu niên đang trong giai đoạn phát triển xương hàm nên bác sĩ có thể dễ dàng can thiệp nới rộng xương hàm mà không cần nhổ răng. Ngược lại, người lớn tuổi 30-40 đã có cấu trúc xương hàm cố định. Do đó, quá trình di chuyển răng cần sự khéo léo, tính toán tỉ mỉ và đôi khi cần đến các kỹ thuật hỗ trợ như cắm Minivis hoặc nhổ răng để tạo khoảng. Dù vậy, kết quả thẩm mỹ và khớp cắn cuối cùng mà người lớn đạt được hoàn toàn xuất sắc và tương đương với trẻ em.
-
Các yếu tố ảnh hưởng hiệu quả: Sự thành công của ca niềng răng phụ thuộc mạnh mẽ vào tay nghề của bác sĩ lập phác đồ, chất lượng khí cụ chỉnh nha và quan trọng nhất là sự hợp tác, tuân thủ kỷ luật từ chính bệnh nhân.
👉 Giải đáp thắc mắc Niềng răng có đau không?
Liên hệ ngay với Nha khoa Trang Dung, nha khoa Trần Hưng Đạo, nha khoa Cầu Giấy, nha khoa Xuân Thuỷ, Cơ sở 1: 3B Trần Hưng Đạo, Q. Hai Bà Trưng, Hà Nội – Răng hàm mặt Trần Hưng Đạo Cơ sở 2: 3K Trần Hưng Đạo, Q. Hai Bà Trưng, Hà Nội Cơ sở 3: 38 Xuân Thủy, Quận Cầu Giấy, Hà Nội Website: https://nhakhoatrangdung.vn/ Fanpage: https://www.facebook.com/nhakhoatrangdung/ Hotline: 0888.155.000 – 0868 383 314 Email: nhakhoatrangdung.vn@gmail.com
III. Những lợi ích vượt trội khi Niềng răng, niềng răng cho người lớn ở tuổi 30–40

Những lợi ích vượt trội khi Niềng răng, niềng răng cho người lớn ở tuổi 30–40
1. Cải thiện thẩm mỹ nụ cười và sự tự tin
Niềng răng, niềng răng cho người lớn giúp cải thiện rõ rệt nụ cười và tăng sự tự tin trong giao tiếp. Đây chính là giá trị cảm xúc mạnh mẽ nhất thôi thúc mọi người bước vào phòng khám nha khoa.
-
Nụ cười đều đẹp hơn: Bằng việc sắp xếp lại các răng khấp khểnh, đóng kín các khe thưa và kéo lùi hàm hô móm, chỉnh nha giúp bạn sở hữu đường cười chuẩn tỷ lệ vàng. Khuôn mặt bạn trở nên cân đối, hài hòa và trẻ trung hơn rất nhiều so với tuổi thật. Các góc nghiêng “thần thánh” cũng được kiến tạo rõ nét.
-
Ảnh hưởng đến công việc và cuộc sống: Trong độ tuổi 30-40, bạn thường xuyên phải gặp gỡ đối tác, điều hành cuộc họp hoặc xây dựng thương hiệu cá nhân. Một nụ cười tự tin sẽ tạo ra “hiệu ứng hào quang” (Halo Effect), giúp bạn dễ dàng chiếm được thiện cảm, sự tin tưởng từ người đối diện, từ đó mở rộng con đường thăng tiến và củng cố hạnh phúc gia đình.
👉 Tham khảo Nghiên cứu về tâm lý nụ cười và sự tự tin trong giao tiếp
2. Cải thiện chức năng ăn nhai một cách hệ thống
Niềng răng, niềng răng cho người lớn giúp khớp cắn chuẩn hơn, từ đó cải thiện khả năng ăn nhai. Sự lột xác không chỉ nằm ở vẻ bề ngoài mà còn ở sự khỏe mạnh từ bên trong.
-
Giảm áp lực lên răng: Hàm răng mọc lộn xộn sẽ khiến khớp cắn bị sai lệch, dẫn đến tình trạng lực nhai phân bố không đều. Răng phải chịu lực quá mức sẽ nhanh chóng yếu đi. Thông qua chỉnh nha, hai hàm trên dưới sẽ lồng múi tối đa vào nhau, dàn đều lực nhai và giúp hệ thống tiêu hóa hoạt động nhẹ nhàng, trơn tru hơn.
-
Tránh mòn răng, đau hàm: Sai khớp cắn kéo dài là nguyên nhân hàng đầu gây ra hội chứng rối loạn khớp thái dương hàm (TMJ), dẫn đến những cơn đau đầu, đau mỏi vai gáy hoặc tiếng kêu lục cục khi há miệng. Chỉnh nha sẽ đưa các khớp về đúng vị trí sinh lý, ngăn chặn nguy cơ mòn men răng trầm trọng và bảo vệ khớp thái dương hàm bền vững.
👉Tìm hiểu chi tiết Niềng răng mất bao lâu? yếu tố quyết định thời gian
3. Phòng ngừa triệt để các bệnh lý răng miệng
Niềng răng, niềng răng cho người lớn góp phần giảm nguy cơ sâu răng, viêm nha chu. Một hàm răng đều đặn chính là lớp áo giáp vững chắc nhất bảo vệ sức khỏe của bạn.
-
Dễ vệ sinh hơn: Khi răng mọc chen chúc, các bàn chải đánh răng và chỉ nha khoa thông thường không thể len lỏi vào những góc khuất. Điều này vô tình tạo ra các “ổ chứa” thức ăn hoàn hảo. Chỉnh nha giúp các răng đứng thẳng hàng, loại bỏ hoàn toàn các điểm nghẽn, giúp quá trình chải răng trở nên vô cùng dễ dàng và nhanh chóng.
-
Giảm tích tụ mảng bám: Bằng việc vệ sinh dễ dàng, bạn sẽ ngăn chặn được sự hình thành của vôi răng (cao răng). Từ đó, vi khuẩn không có môi trường để sinh sôi, giúp triệt tiêu nguy cơ sâu răng, viêm nướu, hôi miệng và đặc biệt là tình trạng rụng răng hàng loạt khi về già.
👉 Đọc báo cáo của WHO về tầm quan trọng của sức khỏe răng miệng
Liên hệ ngay với Nha khoa Trang Dung, nha khoa Trần Hưng Đạo, nha khoa Cầu Giấy, nha khoa Xuân Thuỷ, Cơ sở 1: 3B Trần Hưng Đạo, Q. Hai Bà Trưng, Hà Nội – Răng hàm mặt Trần Hưng Đạo Cơ sở 2: 3K Trần Hưng Đạo, Q. Hai Bà Trưng, Hà Nội Cơ sở 3: 38 Xuân Thủy, Quận Cầu Giấy, Hà Nội Website: https://nhakhoatrangdung.vn/ Fanpage: https://www.facebook.com/nhakhoatrangdung/ Hotline: 0888.155.000 – 0868 383 314 Email: nhakhoatrangdung.vn@gmail.com
IV. Những khó khăn khi niềng răng cho người lớn

Những khó khăn khi niềng răng cho người lớn
1. Thời gian điều trị chỉnh nha kéo dài hơn
Niềng răng, niềng răng cho người lớn thường cần nhiều thời gian hơn do xương hàm đã ổn định. Đây là một rào cản tâm lý mà bạn cần chuẩn bị sẵn sàng để vượt qua.
-
Trung bình 18–30 tháng: Quá trình định hình lại nụ cười ở độ tuổi này đòi hỏi sự kiên nhẫn. Các bác sĩ sẽ áp dụng lực kéo vừa phải để không làm tổn thương chân răng. Thông thường, một ca niềng răng sẽ kéo dài từ 1 năm rưỡi đến hơn 2 năm tùy thuộc vào mức độ sai lệch phức tạp của khớp cắn.
-
So sánh với trẻ em: Thanh thiếu niên sở hữu xương hàm mềm xốp nên răng di chuyển cực kỳ nhanh. Người trưởng thành mất thêm khoảng 3-6 tháng so với trẻ em cho cùng một tình trạng sai lệch. Dù vậy, thời gian trôi qua rất nhanh, và khi nhìn lại, bạn sẽ thấy sự chờ đợi này hoàn toàn xứng đáng.
👉 Xem thêm bài Niềng răng mất bao lâu?
2. Nguy cơ tiềm ẩn từ bệnh lý nền răng miệng
Niềng răng, niềng răng cho người lớn cần kiểm soát tốt các bệnh lý như viêm nha chu trước khi điều trị. Không giống như trẻ em với nền răng nguyên sơ, người trưởng thành thường mang theo nhiều “dấu vết thời gian” trên cung hàm.
-
Viêm nướu, tiêu xương: Những thói quen sinh hoạt không tốt hoặc kỹ thuật vệ sinh sai cách trong hàng chục năm qua dễ dẫn đến tình trạng viêm nha chu, tụt lợi hay tiêu xương ổ răng. Nếu vội vàng gắn mắc cài lên một hệ thống nha chu yếu ớt, răng sẽ đối mặt với nguy cơ lung lay và gãy rụng vĩnh viễn.
-
Điều trị tiền chỉnh nha: Để đảm bảo tính an toàn tuyệt đối, bác sĩ nha khoa bắt buộc phải tiến hành cạo vôi răng sâu, điều trị tủy, trám răng sâu hoặc ghép xương (nếu cần thiết) để xây dựng lại một nền móng vững chắc. Quá trình tiền chỉnh nha này có thể tốn thêm một chút thời gian, nhưng nó là bước đệm sinh tử quyết định sự thành bại của toàn bộ ca niềng.
👉 Tìm hiểu Tiêu xương hàm là gì và cách khắc phục?
3. Tính kỷ luật khắt khe trong quá trình niềng
Niềng răng, niềng răng cho người lớn đòi hỏi sự kiên trì và tuân thủ nghiêm túc chỉ định bác sĩ. Khác với trẻ em luôn có phụ huynh đôn đốc, bạn phải tự mình làm chủ lộ trình chăm sóc sức khỏe của bản thân.
-
Đeo chun đúng cách: Trong một số giai đoạn quan trọng, bác sĩ sẽ chỉ định bạn đeo thun liên hàm để kéo khớp cắn về vị trí chuẩn. Bạn cần duy trì việc đeo thun 20-22 tiếng/ngày, chỉ tháo ra khi ăn và vệ sinh. Sự lơ là hoặc quên đeo thun sẽ làm đình trệ toàn bộ quá trình dịch chuyển, khiến thời gian niềng kéo dài lê thê vô ích.
-
Tái khám định kỳ: Dù bận rộn với công việc và gia đình, bạn vẫn cần sắp xếp thời gian đến nha khoa theo đúng lịch hẹn hàng tháng. Tại mỗi buổi tái khám, bác sĩ sẽ kiểm tra lực siết, thay dây cung và phát hiện sớm các nguy cơ lệch lạc ngoài ý muốn. Điểm cộng lớn nhất là người trưởng thành thường có ý thức tuân thủ và tinh thần tự giác cao hơn rất nhiều so với bệnh nhân nhỏ tuổi.
Liên hệ ngay với Nha khoa Trang Dung, nha khoa Trần Hưng Đạo, nha khoa Cầu Giấy, nha khoa Xuân Thuỷ, Cơ sở 1: 3B Trần Hưng Đạo, Q. Hai Bà Trưng, Hà Nội – Răng hàm mặt Trần Hưng Đạo Cơ sở 2: 3K Trần Hưng Đạo, Q. Hai Bà Trưng, Hà Nội Cơ sở 3: 38 Xuân Thủy, Quận Cầu Giấy, Hà Nội Website: https://nhakhoatrangdung.vn/ Fanpage: https://www.facebook.com/nhakhoatrangdung/ Hotline: 0888.155.000 – 0868 383 314 Email: nhakhoatrangdung.vn@gmail.com
V. Các phương pháp Niềng răng, niềng răng cho người lớn phù hợp và phổ biến

So sánh các phương pháp niềng răng mắc cài
1. Niềng răng, niềng răng cho người lớn bằng mắc cài kim loại
Niềng răng, niềng răng cho người lớn với mắc cài kim loại là phương pháp truyền thống, hiệu quả cao. Dù trải qua hàng thập kỷ cải tiến, mắc cài kim loại vẫn giữ vững ngôi vương về độ bền bỉ và tính ứng dụng mạnh mẽ.
-
Ưu điểm – chi phí: Hệ thống mắc cài làm từ hợp kim thép không gỉ cực kỳ an toàn cho cơ thể. Nó tạo ra lực siết mạnh mẽ, liên tục và ổn định. Về mặt kinh tế, đây là phương pháp tối ưu chi phí nhất, phù hợp với hầu hết khả năng tài chính của người Việt Nam mà vẫn đảm bảo được kết quả hoàn mỹ 100%.
-
Phù hợp ca khó: Đối với những trường hợp sai lệch khớp cắn nghiêm trọng như hô nặng, móm nặng, răng mọc ngầm hay cần kéo răng khểnh, mắc cài kim loại luôn là “vũ khí tối thượng” được các bác sĩ chỉ định ưu tiên. Độ cứng cáp của vật liệu giúp bác sĩ dễ dàng thao tác những kỹ thuật nắn chỉnh phức tạp nhất.
👉 Tham khảo chi tiết Niềng răng mắc cài kim loại
2. Niềng răng, niềng răng cho người lớn bằng mắc cài sứ
Niềng răng, niềng răng cho người lớn bằng mắc cài sứ mang tính thẩm mỹ cao hơn. Đây là bản nâng cấp hoàn hảo dành cho những ai muốn kết hợp sức mạnh của mắc cài và sự tinh tế trong diện mạo.
-
Ít lộ: Các hạt mắc cài được chế tác từ chất liệu sứ cao cấp hoặc pha lê, có màu sắc trùng khớp với màu men răng tự nhiên của bạn. Khi giao tiếp ở khoảng cách bình thường, người đối diện rất khó để nhận ra bạn đang mang khí cụ chỉnh nha. Điều này giúp loại bỏ cảm giác e ngại, “sợ xấu” ở người trưởng thành.
-
Hiệu quả tương đương: Thiết kế và cơ chế hoạt động của mắc cài sứ hoàn toàn giống hệt với mắc cài kim loại. Bạn vẫn được đảm bảo một tốc độ di chuyển răng ổn định, rút ngắn thời gian điều trị mà vẫn giữ được sự thanh lịch, sang trọng trong suốt quá trình niềng.
3. Niềng răng, niềng răng cho người lớn bằng khay trong suốt (Invisalign)
Niềng răng, niềng răng cho người lớn bằng khay trong suốt là lựa chọn tối ưu về thẩm mỹ. Chỉnh nha vô hình Invisalign chính là cuộc cách mạng công nghệ, đánh dấu bước ngoặt lớn trong ngành nha khoa hiện đại, đặc biệt được giới doanh nhân và người nổi tiếng ưa chuộng.
-
Gần như vô hình: Khay Invisalign được làm từ vật liệu SmartTrack độc quyền, siêu mỏng, siêu đàn hồi và trong suốt tuyệt đối. Khi đeo lên răng, nó ôm khít vào bề mặt thân răng, tạo nên sự tàng hình hoàn hảo. Bạn hoàn toàn có thể tự tin thuyết trình, cười nói hay ghi hình mà không ai biết bạn đang chỉnh nha.
-
Tháo lắp linh hoạt: Khác biệt lớn nhất là bạn có thể chủ động tháo khay chỉnh nha ra mỗi khi ăn uống hoặc vệ sinh răng miệng. Không còn nỗi lo kiêng khem đồ cứng, đồ dai hay đối mặt với sự cố bung tuột mắc cài. Sự linh hoạt này mang đến trải nghiệm niềng răng êm ái, tiện lợi và phù hợp tuyệt đối với nhịp sống bận rộn của người trưởng thành.
👉Khám phá công nghệ Niềng răng trong suốt là gì?
Liên hệ ngay với Nha khoa Trang Dung, nha khoa Trần Hưng Đạo, nha khoa Cầu Giấy, nha khoa Xuân Thuỷ, Cơ sở 1: 3B Trần Hưng Đạo, Q. Hai Bà Trưng, Hà Nội – Răng hàm mặt Trần Hưng Đạo Cơ sở 2: 3K Trần Hưng Đạo, Q. Hai Bà Trưng, Hà Nội Cơ sở 3: 38 Xuân Thủy, Quận Cầu Giấy, Hà Nội Website: https://nhakhoatrangdung.vn/ Fanpage: https://www.facebook.com/nhakhoatrangdung/ Hotline: 0888.155.000 – 0868 383 314 Email: nhakhoatrangdung.vn@gmail.com
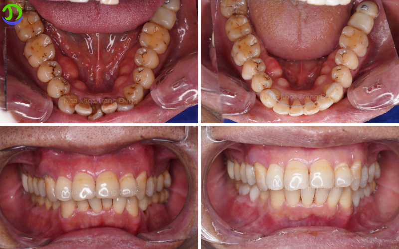
VI. Chi phí Niềng răng, niềng răng cho người lớn 30–40 tuổi hiện nay

Khách hàng 58 tuổi niềng răng trong suốt hàm dưới tại nha khoa Trang Dung
1. Các yếu tố quyết định ảnh hưởng đến chi phí
Niềng răng, niềng răng cho người lớn có chi phí phụ thuộc vào nhiều yếu tố khác nhau. Việc hiểu rõ các thành phần cấu thành giá sẽ giúp bạn có kế hoạch tài chính vững vàng.
-
Độ lệch răng: Một ca hô móm nhẹ, răng thưa đơn giản chắc chắn sẽ có chi phí thấp hơn nhiều so với những ca hô do hàm, sai khớp cắn hạng 3 phức tạp cần sự hỗ trợ của Minivis hay các khí cụ nong hàm chuyên sâu.
-
Phương pháp niềng: Vật liệu bạn chọn quyết định trực tiếp đến giá thành. Mắc cài kim loại truyền thống là tiết kiệm nhất, tiếp đến là mắc cài sứ, và cao cấp nhất chính là hệ thống khay trong suốt Invisalign nhập khẩu trực tiếp từ Mỹ.
-
Tay nghề bác sĩ: Chỉnh nha là một bộ môn nghệ thuật tinh tế kết hợp y khoa chính xác. Một bác sĩ giỏi, giàu kinh nghiệm thực chiến sẽ đưa ra phác đồ tối ưu, dự đoán được các rủi ro và rút ngắn thời gian niềng. Chi phí đầu tư cho một chuyên gia luôn mang lại giá trị tương xứng với kết quả hoàn hảo mà bạn nhận được.
👉 Đọc thêm Thống kê chi phí chỉnh nha trên thế giới
2. Mức giá tham khảo trên thị trường
Niềng răng, niềng răng cho người lớn tại Việt Nam có mức giá dao động tùy từng phương pháp. Mức giá dưới đây mang tính chất tham khảo tổng quan để bạn hình dung:
-
Mắc cài kim loại/sứ: Mức chi phí thường dao động nhẹ nhàng từ 25 triệu đến 60 triệu VNĐ tùy vào việc bạn chọn mắc cài thường hay mắc cài tự động (tự buộc). Mắc cài tự động sở hữu hệ thống nắp trượt thông minh giúp giảm ma sát, hạn chế đau nhức và rút ngắn thời gian.
-
Invisalign (Khay trong suốt): Mức chi phí cao hơn hẳn, dao động từ 80 triệu đến 120 triệu VNĐ hoặc cao hơn. Đổi lại, bạn được tận hưởng trọn vẹn công nghệ tiên tiến nhất với phần mềm ClinCheck xem trước kết quả bằng video 3D trực quan.
Liên hệ ngay với Nha khoa Trang Dung, nha khoa Trần Hưng Đạo, nha khoa Cầu Giấy, nha khoa Xuân Thuỷ, Cơ sở 1: 3B Trần Hưng Đạo, Q. Hai Bà Trưng, Hà Nội – Răng hàm mặt Trần Hưng Đạo Cơ sở 2: 3K Trần Hưng Đạo, Q. Hai Bà Trưng, Hà Nội Cơ sở 3: 38 Xuân Thủy, Quận Cầu Giấy, Hà Nội Website: https://nhakhoatrangdung.vn/ Fanpage: https://www.facebook.com/nhakhoatrangdung/ Hotline: 0888.155.000 – 0868 383 314 Email: nhakhoatrangdung.vn@gmail.com
VII. Quy trình Niềng răng, niềng răng cho người lớn chuẩn Y khoa
1. Thăm khám và tư vấn tổng quát
Niềng răng, niềng răng cho người lớn bắt đầu bằng bước kiểm tra tổng quát và chụp phim. Bác sĩ sẽ tiến hành chụp X-quang Panorama và Cephalometric, kết hợp scan răng 3D (iTero hoặc Trios) để lấy dấu hàm kỹ thuật số. Qua đó, bác sĩ đánh giá chính xác góc độ chân răng, mật độ xương hàm và tình trạng bệnh lý hiện tại để đưa ra chẩn đoán chính xác nhất.
2. Lập kế hoạch điều trị cá nhân hóa
Niềng răng, niềng răng cho người lớn cần có phác đồ cá nhân hóa cho từng trường hợp. Dựa trên dữ liệu thu thập, bác sĩ sẽ tính toán từng milimet dịch chuyển của mỗi chiếc răng theo từng tháng. Bạn sẽ được xem trước kết quả mô phỏng (ClinCheck) và được thảo luận kỹ lưỡng về thời gian dự kiến, việc có cần nhổ răng hay không, cũng như tổng chi phí trọn gói.
3. Gắn mắc cài hoặc tiến hành đeo khay
Niềng răng, niềng răng cho người lớn chính thức bắt đầu khi hệ thống chỉnh nha được lắp đặt. Bác sĩ sẽ làm sạch bề mặt men răng, bôi keo nha khoa chuyên dụng và cẩn thận đính từng hạt mắc cài. Nếu dùng Invisalign, bạn sẽ được giao bộ khay đầu tiên và hướng dẫn chi tiết cách tháo lắp, bảo quản khay tại nhà.
4. Theo dõi và tái khám định kỳ
Niềng răng, niềng răng cho người lớn yêu cầu theo dõi liên tục để đảm bảo hiệu quả. Thông thường, chu kỳ tái khám rơi vào khoảng 3-6 tuần/lần. Bác sĩ sẽ thực hiện các thao tác thay thun, nâng cấp kích thước dây cung, vệ sinh răng miệng chuyên sâu và kiểm tra tiến độ di chuyển răng xem có đúng với phác đồ ban đầu hay không.
Liên hệ ngay với Nha khoa Trang Dung, nha khoa Trần Hưng Đạo, nha khoa Cầu Giấy, nha khoa Xuân Thuỷ, Cơ sở 1: 3B Trần Hưng Đạo, Q. Hai Bà Trưng, Hà Nội – Răng hàm mặt Trần Hưng Đạo Cơ sở 2: 3K Trần Hưng Đạo, Q. Hai Bà Trưng, Hà Nội Cơ sở 3: 38 Xuân Thủy, Quận Cầu Giấy, Hà Nội Website: https://nhakhoatrangdung.vn/ Fanpage: https://www.facebook.com/nhakhoatrangdung/ Hotline: 0888.155.000 – 0868 383 314 Email: nhakhoatrangdung.vn@gmail.com
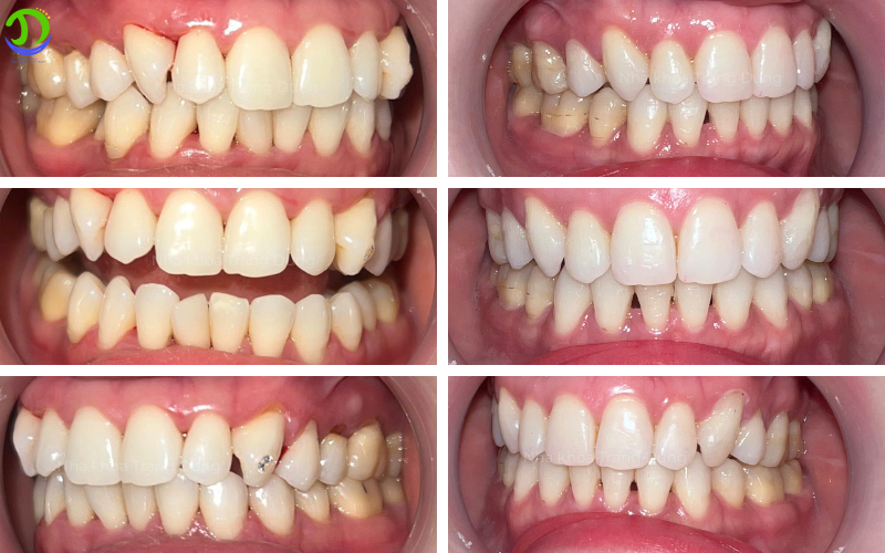
VIII. Lời khuyên vàng từ chuyên gia khi Niềng răng, niềng răng cho người lớn tuổi 30–40

Case niềng răng khách sinh năm 1990 bị xoay cổ chân răng
1. Lựa chọn nha khoa uy tín và bác sĩ chuyên môn cao
Niềng răng, niềng răng cho người lớn cần được thực hiện tại cơ sở uy tín để đảm bảo an toàn. Bạn tuyệt đối không nên giao phó nụ cười của mình cho những cơ sở chui, kém chất lượng với mức giá rẻ bất thường. Hãy tìm kiếm các phòng khám sở hữu hệ thống trang thiết bị hiện đại, vô trùng tuyệt đối. Đặc biệt, người trực tiếp điều trị phải là bác sĩ chuyên khoa Răng Hàm Mặt, có chứng chỉ hành nghề chỉnh nha chuyên sâu và sở hữu nhiều ca lâm sàng thành công.
2. Xây dựng sự kiên trì và tuân thủ tuyệt đối hướng dẫn
Niềng răng, niềng răng cho người lớn chỉ đạt hiệu quả khi bạn tuân thủ nghiêm túc phác đồ. Sẽ có những ngày đầu tiên bạn cảm thấy ê ẩm khó chịu, hoặc những lúc lười biếng việc đeo thun liên hàm. Tuy nhiên, sức mạnh của sự kiên trì sẽ đơm hoa kết trái. Hãy giữ cho mình một tinh thần lạc quan, nghĩ về nụ cười tuyệt mỹ trong tương lai để biến mọi khó khăn thành động lực mạnh mẽ.
3. Duy trì thói quen chăm sóc răng miệng đúng cách
Niềng răng, niềng răng cho người lớn đòi hỏi vệ sinh răng miệng kỹ lưỡng mỗi ngày. Hệ thống mắc cài rất dễ mắc kẹt mảng bám. Việc chải răng thông thường là chưa đủ. Bạn bắt buộc phải trang bị thêm bàn chải kẽ, máy tăm nước và nước súc miệng chuyên dụng. Chỉ tốn thêm 5-10 phút mỗi ngày, nhưng chúng sẽ giúp nướu của bạn luôn săn chắc, răng trắng sáng và ngăn chặn hoàn toàn bệnh lý tụt lợi trong suốt 2 năm ròng rã đeo niềng.
Liên hệ ngay với Nha khoa Trang Dung, nha khoa Trần Hưng Đạo, nha khoa Cầu Giấy, nha khoa Xuân Thuỷ, Cơ sở 1: 3B Trần Hưng Đạo, Q. Hai Bà Trưng, Hà Nội – Răng hàm mặt Trần Hưng Đạo Cơ sở 2: 3K Trần Hưng Đạo, Q. Hai Bà Trưng, Hà Nội Cơ sở 3: 38 Xuân Thủy, Quận Cầu Giấy, Hà Nội Website: https://nhakhoatrangdung.vn/ Fanpage: https://www.facebook.com/nhakhoatrangdung/ Hotline: 0888.155.000 – 0868 383 314 Email: nhakhoatrangdung.vn@gmail.com
IX. Có nên niềng răng ở tuổi 30–40 không? (Đánh giá & Kết luận)
Niềng răng, niềng răng cho người lớn ở độ tuổi 30–40 hoàn toàn xứng đáng nếu bạn mong muốn cải thiện cả thẩm mỹ lẫn sức khỏe răng miệng. Đứng trước câu hỏi mang tính quyết định này, câu trả lời mạnh mẽ nhất từ giới chuyên môn luôn là: CÓ.
-
Tóm tắt lợi ích: Khoản đầu tư vào chỉnh nha không đơn thuần chỉ mang lại một nụ cười thẳng tắp, mà đó là hành trình “tái sinh” lại toàn bộ hệ thống nhai, ngăn chặn triệt để tình trạng rụng răng sớm hay đau khớp thái dương hàm dai dẳng. Hơn thế nữa, sự tự tin rạng ngời tỏa ra từ bên trong chính là chìa khóa mở ra những cánh cửa mới trong sự nghiệp và đời sống tinh thần của bạn.
-
Đánh giá tổng quan (thiên hướng tích cực): Chắc chắn rằng, khoảng thời gian 2 năm mang khí cụ sẽ có những bất tiện nhỏ. Bạn sẽ phải làm quen với máy tăm nước, phải đến nha khoa định kỳ và kiên nhẫn hơn trong việc ăn uống. Tuy nhiên, nếu đặt lên bàn cân so sánh, 2 năm kiên trì để đổi lấy 40, 50 năm tiếp theo sống trong sự tự tin, nhai nghiền đồ ăn khỏe mạnh và không mắc bệnh nha chu, thì đây là một cuộc “đánh đổi” sinh lời vạn lần. Tuổi 30 hay 40 không phải là quá muộn, mà là thời điểm chín muồi nhất về tư duy, bản lĩnh và tài chính để bạn yêu thương bản thân đúng cách.
-
Kêu gọi hành động: Đừng để sự e ngại về tuổi tác tước đoạt đi cơ hội sở hữu nụ cười hạnh phúc của bạn. Hãy hành động ngay hôm nay! Đặt lịch khám tổng quát miễn phí để lắng nghe lời khuyên trực tiếp từ đội ngũ chuyên gia hàng đầu. Bạn xứng đáng với những điều tốt đẹp nhất, và chúng tôi luôn sẵn sàng đồng hành cùng bạn trên hành trình kiến tạo diện mạo mới.
Liên hệ ngay với Nha khoa Trang Dung, nha khoa Trần Hưng Đạo, nha khoa Cầu Giấy, nha khoa Xuân Thuỷ, Cơ sở 1: 3B Trần Hưng Đạo, Q. Hai Bà Trưng, Hà Nội – Răng hàm mặt Trần Hưng Đạo Cơ sở 2: 3K Trần Hưng Đạo, Q. Hai Bà Trưng, Hà Nội Cơ sở 3: 38 Xuân Thủy, Quận Cầu Giấy, Hà Nội Website: https://nhakhoatrangdung.vn/ Fanpage: https://www.facebook.com/nhakhoatrangdung/ Hotline: 0888.155.000 – 0868 383 314 Email: nhakhoatrangdung.vn@gmail.com
X. Câu hỏi thường gặp (FAQ) khi Niềng răng, niềng răng cho người lớn
1. Niềng răng 30 tuổi có muộn không? Hoàn toàn không muộn. Trong y khoa chỉnh nha, không có giới hạn độ tuổi tối đa. Sinh lý dịch chuyển răng ở tuổi 30, 40 hay thậm chí 50 vẫn diễn ra bình thường, miễn là hệ thống xương hàm và mô nha chu của bạn còn khỏe mạnh. Rất nhiều bệnh nhân đã hoàn thiện nụ cười rạng rỡ ở tuổi tứ tuần.
2. Niềng răng 40 tuổi có nguy hiểm không? Niềng răng là một phương pháp cơ học tự nhiên, hoàn toàn không gây nguy hiểm cho sức khỏe. Tuy nhiên, ở độ tuổi 40, bạn có thể đã mắc một số bệnh lý nền như viêm nha chu nhẹ. Bác sĩ sẽ tầm soát và điều trị triệt để các bệnh lý này trước khi gắn mắc cài, đảm bảo sự an toàn tuyệt đối và ngăn chặn biến chứng tiêu xương hay lung lay răng.
3. Niềng răng có đau không? Cảm giác đau đớn dữ dội là hoàn toàn không có. Bạn chỉ trải qua cảm giác ê ẩm, căng tức nhẹ trong khoảng 3-5 ngày đầu tiên khi mới gắn mắc cài hoặc sau mỗi lần siết răng hàng tháng. Đây là tín hiệu tích cực cho thấy các tế bào xương đang được kích hoạt để răng bắt đầu dịch chuyển. Cảm giác này sẽ nhanh chóng biến mất khi cơ thể quen với lực tác động.
4. Bao lâu thì thấy hiệu quả của việc niềng răng? Tùy vào tình trạng sai lệch và phương pháp điều trị, thông thường chỉ sau 3 đến 6 tháng đầu tiên, bạn đã có thể nhìn thấy sự thay đổi rõ rệt: các răng lộn xộn bắt đầu dàn đều, các khe thưa dần khép lại. Tuy nhiên, để cấu trúc khớp cắn hoàn chỉnh và ổn định hoàn toàn, bạn cần tuân thủ trọn vẹn lộ trình 18 đến 30 tháng theo chỉ định của bác sĩ.
5. Có bắt buộc phải nhổ răng không? Không phải ca niềng răng người lớn nào cũng phải nhổ răng. Nhổ răng (thường là răng số 4 hoặc răng khôn) chỉ được chỉ định khi cung hàm của bạn quá hẹp, răng chen chúc nặng hoặc hô móm nghiêm trọng cần khoảng trống lớn để kéo lùi nhóm răng cửa. Với các công nghệ nong hàm tiên tiến hoặc kỹ thuật mài kẽ răng (IPR), tỷ lệ phải nhổ răng ngày nay đã được giảm thiểu đáng kể. Bác sĩ sẽ tính toán cẩn thận để bảo tồn tối đa răng thật cho bạn.
