Review Các Nha Khoa Uy Tín Hà Nội Có Thể Bạn Chưa Biết
Nha Khoa Trang Dung là một trong những nha khoa uy tín Hà Nội và là phòng khám có lịch sử hoạt động lâu năm tại Hà Nội. Sự uy tín của phòng khám chủ yếu đến từ phong cách làm nghề nghiêm túc, thận trọng và luôn ưu tiên chất lượng điều trị.
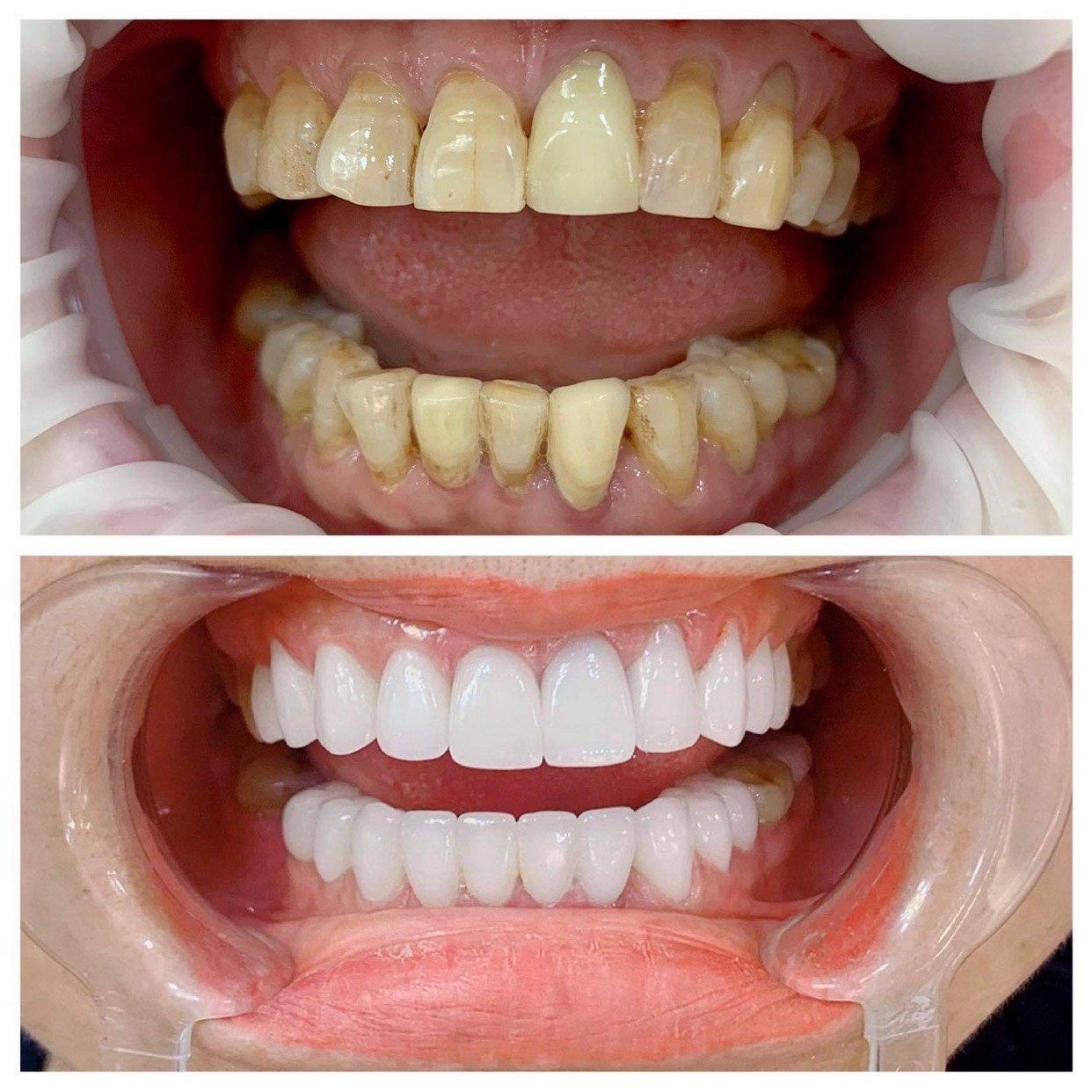
Nha khoa uy tín Hà Nội
- Một số nha khoa uy tín Hà Nội:
- Nha Khoa Trang Dung – Cơ sở truyền thống với tay nghề vững và phong cách làm việc chuẩn mực
- Nha khoa Lạc Việt – Phù hợp cho các ca chuyên môn cao
- Nha khoa Kim – Chuỗi lớn với dịch vụ đa dạng
- Nha khoa Sunshine – Tập trung vào thẩm mỹ răng cao cấp
- Nha khoa Việt Đức – Điều trị bệnh lý răng miệng chuyên sâu
- Nha khoa Paris – Mạnh về thẩm mỹ và chăm sóc khách hàng
- Nha khoa Navii – Kết hợp tốt giữa điều trị và thẩm mỹ
- Các dịch vụ nha khoa tại Nha Trang Trang Dung:
- Lợi thế của các nha khoa uy tín Hà Nội:
- Vì sao chúng ta cần đi nha khoa đều đặn:
Một số nha khoa uy tín Hà Nội:
Nha Khoa Trang Dung – Cơ sở truyền thống với tay nghề vững và phong cách làm việc chuẩn mực
Lý do được nhiều người tin tưởng
Nha Khoa Trang Dung là một trong những phòng khám nha khoa uy tín Hà Nội, có lịch sử hoạt động lâu năm tại Hà Nội. Sự uy tín của phòng khám chủ yếu đến từ phong cách làm nghề nghiêm túc, thận trọng và luôn ưu tiên chất lượng điều trị. Đây là dạng phòng khám “bền vững theo thời gian”, phụ huynh hay đưa con tới vì tin tay nghề và cách làm việc cẩn thận.
Chất lượng đội ngũ bác sĩ
Bác sĩ tại đây có kinh nghiệm nhiều năm, đặc biệt là trong điều trị đau răng, điều trị tủy, cấy ghép răng và các trường hợp răng nhạy cảm. Một điểm rất hay là họ không vội vã, mà kiểm tra kỹ trước khi làm, giúp bệnh nhân yên tâm.
Dịch vụ mạnh

Khách hàng đánh giá
Bọc răng sứ – thẩm mỹ răng
Phục hồi răng hư tổn
Nhổ răng khó, răng mọc lệch
Điều trị nha chu, viêm quanh răng
Không gian – cơ sở vật chất
Không gian không quá phô trương nhưng sạch sẽ, gọn gàng, máy móc hiện đại ở mức tiêu chuẩn cao của phòng khám tư nhân lâu năm. Tạo cảm giác tin cậy và quen thuộc.
Nha khoa Lạc Việt – Phù hợp cho các ca chuyên môn cao
Thế mạnh nổi bật
Phòng khám này hướng đến các ca có tính kỹ thuật cao như niềng răng, làm răng toàn diện, Implant hàm, phục hình răng dài hạn. Nhìn chung phù hợp cho những bạn cần điều trị bài bản, yêu cầu kết quả lâu dài.
Quy trình làm việc
Khám – phân tích – chụp phim – tư vấn – mô phỏng kết quả. Tất cả được sắp xếp theo trình tự hợp lý, nên người đến khám dễ hiểu rõ vấn đề của mình.
Điểm mạnh của bác sĩ
Nhiều bác sĩ trẻ và bác sĩ lớn tuổi cùng phối hợp. Đội ngũ trẻ năng động, nắm công nghệ mới, còn các bác sĩ lớn tuổi giúp kiểm soát chất lượng và những ca khó.
Dịch vụ tiêu biểu
Niềng răng mắc cài và Invisalign
Chỉnh khớp cắn sai lệch
Implant phục hồi toàn hàm
Thẩm mỹ răng theo gói thiết kế nụ cười
Nha khoa Kim – Chuỗi lớn với dịch vụ đa dạng
Điểm mạnh của chuỗi
Ưu điểm lớn nhất là sự đồng nhất. Dù bạn đến chi nhánh nào thì quy trình, phong cách phục vụ và hồ sơ điều trị đều được quản lý rõ ràng. Điều này giúp theo dõi lâu dài rất thuận tiện.
Vì sao nhiều người chọn
Nha khoa Kim phù hợp với gia đình hoặc người thường xuyên bận rộn. Bạn chỉ cần đặt lịch, đến là có nhân viên hướng dẫn ngay. Điều trị từ cơ bản đến nâng cao đều có đủ.
Dịch vụ mạnh
Khám – lấy cao răng – chăm sóc tổng quát
Tẩy trắng răng
Bọc sứ, làm thẩm mỹ
Cấy ghép Implant
Điều trị tuỷ – nha chu
Nha khoa Sunshine – Tập trung vào thẩm mỹ răng cao cấp
Lý do nổi tiếng
Sunshine mạnh nhất ở mảng răng sứ, veneer và thiết kế nụ cười. Các bạn muốn có hàm răng đều, trắng, đẹp, đẹp máy ảnh – đẹp gặp người – thường chọn Sunshine vì phong cách làm mang thiên hướng thẩm mỹ.
Quy trình thẩm mỹ
Tư vấn – thiết kế nụ cười – chọn màu – mô phỏng kết quả. Họ rất chú trọng vẻ tự nhiên, nên phù hợp cho người làm nghề cần ngoại hình.
Dịch vụ nổi bật
Dán veneer sứ
Bọc sứ thẩm mỹ
Thiết kế nụ cười theo khuôn mặt
Nha khoa Việt Đức – Điều trị bệnh lý răng miệng chuyên sâu
Thế mạnh chính
Phòng khám này rất mạnh trong điều trị bệnh lý: nhổ răng khôn khó, điều trị tuỷ ở các răng phức tạp, xử lý viêm nha chu, nạo túi lợi, răng mọc lệch, răng nhiễm trùng sâu.
Lý do nên cân nhắc
Nếu bạn gặp các tình trạng gây đau, sưng, hoặc răng mọc lệch cần can thiệp nghiêm túc, Việt Đức là nơi phù hợp. Bác sĩ khá chắc tay và luôn ưu tiên giảm đau tối da.
Điểm nổi bật
Nhổ răng khôn
Điều trị viêm lợi – viêm nha chu
Phẫu thuật nhỏ trong miệng
Nha khoa Paris – Mạnh về thẩm mỹ và chăm sóc khách hàng
Đặc điểm
Paris hướng đến dịch vụ thẩm mỹ nhiều hơn là điều trị bệnh lý nặng. Phòng khám hiện đại, nhân viên hỗ trợ tốt, tư vấn kỹ lưỡng và luôn cung cấp nhiều lựa chọn dịch vụ để phù hợp với ngân sách từng người.
Lý do được nhiều người lựa chọn
Những ai chú trọng tính thẩm mỹ, muốn làm răng đẹp để tự tin hơn – thường đến Paris. Phòng khám làm kỹ, màu sắc răng đẹp, các gói chăm sóc rất rõ ràng.
Dịch vụ tiêu biểu
Làm trắng răng
Bọc sứ thẩm mỹ
Làm lại răng hỏng sau điều trị cũ
Nha khoa Navii – Kết hợp tốt giữa điều trị và thẩm mỹ
Ưu điểm
Navii là phòng khám có thế mạnh cả về điều trị cơ bản lẫn thẩm mỹ. Đây là phòng khám chiều khách, tư vấn kỹ, phù hợp với những ai muốn tìm sự an tâm.
Dịch vụ chính
Điều trị bệnh lý (sâu răng, tủy, nha chu)
Niềng răng
Làm răng thẩm mỹ
Các dịch vụ nha khoa tại Nha Trang Trang Dung:
1. Khám tổng quát và tư vấn chuyên sâu
Nha Khoa Trang Dung luôn bắt đầu mọi liệu trình bằng bước khám – tư vấn kỹ lưỡng.
Nội dung bao gồm:
Kiểm tra răng, nướu, khớp cắn và khoang miệng bằng dụng cụ chuẩn nha khoa.
Đánh giá các dấu hiệu sớm của sâu răng, viêm lợi, viêm nha chu, răng mọc lệch.
Phân tích thói quen ăn uống, vệ sinh răng miệng để đưa ra hướng chăm sóc phù hợp.
Đưa ra phác đồ điều trị rõ ràng, giải thích dễ hiểu, giúp khách hàng nắm được thời gian – chi phí – kết quả dự kiến.
2. Cạo vôi răng – làm sạch mảng bám – đánh bóng
Dịch vụ làm sạch chuyên sâu giúp cải thiện sức khỏe nướu và hơi thở.
Loại bỏ vôi răng tích tụ lâu ngày ở thân răng và dưới nướu.
Sử dụng đầu máy siêu âm nhẹ nhàng để tránh ê buốt.
Đánh bóng bề mặt răng sau khi cạo vôi để hạn chế bám lại.
Khách hàng được hướng dẫn cách đánh răng – xỉa răng – chăm sóc tại nhà.
3. Điều trị viêm lợi và bệnh nha chu
Nha chu là vấn đề phổ biến, Trang Dung điều trị theo từng cấp độ:
Với tình trạng nhẹ: làm sạch sâu, loại bỏ vi khuẩn và mảng bám gây viêm.
Với tình trạng trung bình: xử lý túi lợi, chăm sóc lại bề mặt chân răng.

Khách hàng sau khi trải nghiệm xong
Với nha chu nặng: theo dõi định kỳ, điều trị nhiều lần theo từng đợt nhằm ngăn răng lung lay.
Khách hàng được hướng dẫn chế độ chăm sóc nhằm giảm tái phát.
4. Trám răng thẩm mỹ – phục hồi răng sâu
Dịch vụ trám răng giúp khắc phục răng sâu, mẻ, mòn mà vẫn giữ được sự tự nhiên.
Vật liệu trám màu giống răng thật, không bị lộ khi giao tiếp.
Bác sĩ tạo hình tỉ mỉ để răng đều, đẹp và ăn nhai thoải mái.
Phù hợp cho cả trẻ em và người lớn.
Quy trình nhanh, an toàn và bền chắc.
5. Tẩy trắng răng công nghệ an toàn
Phù hợp cho người răng ố vàng do trà, cà phê, thuốc lá hoặc yếu tố sinh học.
Sử dụng thuốc tẩy trắng chuyên dụng, kiểm soát bởi bác sĩ.
Bảo vệ men răng, không gây mòn hoặc đau buốt.
Hiệu quả rõ rệt sau 1 buổi, duy trì lâu nếu vệ sinh đúng cách.
Có thể kết hợp tẩy trắng tại phòng khám và tại nhà tùy nhu cầu.
6. Niềng răng – chỉnh nha cho trẻ em và người lớn
Nha Khoa Trang Dung chú trọng điều chỉnh răng lệch lạc và khớp cắn sai.
Niềng răng mắc cài kim loại: chắc chắn, tiết kiệm chi phí.
Niềng răng mắc cài sứ: thẩm mỹ cao, khó nhận ra khi giao tiếp.
Khay trong suốt: gọn nhẹ, thuận tiện cho người bận rộn.
Theo dõi định kỳ để đảm bảo răng di chuyển đúng lộ trình.
Tư vấn từng giai đoạn để khách yên tâm về quá trình và kết quả.
7. Trồng răng Implant phục hồi răng mất
Dành cho người bị mất một hoặc nhiều răng.
Đặt trụ implant vào xương hàm để thay thế chân răng thật.
Gắn mão sứ lên trụ implant, tạo răng mới chắc chắn như răng tự nhiên.
Giúp ăn nhai tốt, không gây vướng víu như răng tháo lắp.
Bác sĩ theo dõi sau phẫu thuật để đảm bảo implant ổn định.
8. Bọc răng sứ – cải thiện thẩm mỹ nụ cười
Dịch vụ thẩm mỹ được nhiều người lựa chọn.
Thích hợp cho răng thưa, ngả màu, mẻ hoặc hình dáng không đẹp.
Mão sứ nhiều dòng, màu sắc tự nhiên, hài hòa với gương mặt.
Bác sĩ lấy dấu răng tỉ mỉ để răng sứ ôm sát, không cộm, không đau.
Thời gian thực hiện nhanh, mang lại nụ cười đều – đẹp – tự tin.
9. Nhổ răng khôn an toàn và ít đau
Trang Dung chú trọng kỹ thuật khi nhổ răng để đảm bảo an toàn tối đa.
Thẩm định vị trí răng khôn bằng phim X-quang.
Nhổ răng với công nghệ hỗ trợ giúp giảm đau, giảm sưng.
Chăm sóc sau nhổ được hướng dẫn chi tiết để nhanh hồi phục.
Phù hợp cả cho trường hợp răng khôn mọc lệch hoặc ngầm.
10. Điều trị tủy răng – bảo tồn răng thật
Dành cho răng bị đau, viêm hoặc tổn thương sâu.
Làm sạch hệ thống ống tủy, loại bỏ vi khuẩn gây viêm.
Trám bít ống tủy bằng vật liệu chuyên dụng để tránh tái phát.
Giúp giữ lại răng thật lâu dài và phục hồi ăn nhai bình thường.
Sau điều trị có thể bọc sứ để bảo vệ răng.
11. Làm răng giả tháo lắp
Phục hình dành cho người cao tuổi hoặc người mất nhiều răng.
Thiết kế phù hợp hình dáng hàm từng khách hàng.
Nhẹ, dễ tháo lắp và dễ vệ sinh.
Giúp cải thiện ăn nhai và thẩm mỹ khuôn miệng.
Có cả loại nhựa dẻo, loại kim loại… tùy nhu cầu.
12. Chăm sóc – theo dõi – kiểm tra định kỳ
Trang Dung khuyến khích khách hàng tái khám 6 tháng/lần để:
Phát hiện sớm bệnh răng miệng.
Ngăn ngừa sâu răng, viêm nướu, nha chu.
Duy trì hơi thở thơm mát và hạn chế các vấn đề nặng về sau.
Liên hệ ngay với Nha khoa Trang Dung, nha khoa Trần Hưng Đạo, nha khoa Cầu Giấy, nha khoa Xuân Thuỷ
📍 Cơ sở 1: 3B Trần Hưng Đạo, Q. Hai Bà Trưng, Hà Nội – Răng hàm mặt Trần Hưng Đạo
📍 Cơ sở 2: 3K Trần Hưng Đạo, Q. Hai Bà Trưng, Hà Nội
📍 Cơ sở 3: 38 Xuân Thủy, Quận Cầu Giấy, Hà Nội
🌐 Website: https://nhakhoatrangdung.vn/
📘 Fanpage: https://www.facebook.com/nhakhoatrangdung/
📞 Hotline: 0888.155.000 – 0868 383 314
📩 Email: nhakhoatrangdung.vn@gmail.com
Lợi thế của các nha khoa uy tín Hà Nội:
1. Đội ngũ bác sĩ có tay nghề cao và kinh nghiệm thực tế
Các nha khoa uy tín tại Hà Nội thường quy tụ bác sĩ:
Được đào tạo bài bản, có chứng chỉ chuyên môn rõ ràng.
Thường xuyên cập nhật kỹ thuật mới, tham gia hội thảo chuyên ngành.
Có nhiều năm kinh nghiệm xử lý từ ca đơn giản đến ca phức tạp như implant, chỉnh nha, nha chu nặng.
→ Điều này giúp khách hàng yên tâm về độ chính xác và an toàn trong mọi điều trị.
2. Trang thiết bị hiện đại – công nghệ tiên tiến
Một đặc điểm dễ nhận biết của nha khoa uy tín là sự đầu tư vào công nghệ:
Máy X-quang kỹ thuật số cho hình ảnh rõ nét.
Thiết bị điều trị vô trùng, giảm đau, hỗ trợ phẫu thuật.
Công nghệ làm răng sứ, implant, tẩy trắng đời mới giúp tối ưu thời gian và kết quả.
→ Khách hàng được hưởng chất lượng điều trị cao, hạn chế rủi ro.
3. Quy trình điều trị minh bạch – rõ ràng
Nha khoa uy tín luôn:
Khám và tư vấn kỹ trước khi làm bất cứ dịch vụ nào.
Giải thích chi tiết tình trạng răng, phác đồ điều trị, thời gian thực hiện.
Báo giá rõ ràng, không phát sinh mập mờ.
→ Khách hàng biết mình đang được điều trị gì và vì sao cần điều trị.
4. Vệ sinh – vô trùng chuẩn y khoa
Điểm mạnh quan trọng:
Phòng điều trị được khử khuẩn thường xuyên.
Dụng cụ nha khoa tiệt trùng bằng hệ thống hiện đại.
Quy trình vô trùng 3–5 bước đảm bảo an toàn tuyệt đối.
→ Giảm nguy cơ lây nhiễm chéo và tăng độ an tâm khi điều trị.
5. Chăm sóc khách hàng tận tâm và có trách nhiệm
Nha khoa uy tín chú trọng trải nghiệm khách hàng:

Nha Khoa Trang Dung chăm sóc khách hàng
Tư vấn mềm mỏng, giải thích rõ ràng, không ép dịch vụ.
Quan tâm tới cảm giác đau – lo lắng của khách, hỗ trợ tâm lý trước khi làm.
Nhắc lịch tái khám, theo dõi sau điều trị.
→ Khách cảm thấy được tôn trọng và chăm sóc như người nhà.
6. Đa dạng dịch vụ – chất lượng đồng đều
Các nha khoa lớn tại Hà Nội thường:
Cung cấp đầy đủ từ khám tổng quát, cạo vôi, tẩy trắng, niềng răng, implant, nha chu, điều trị tủy, phục hình, thẩm mỹ…
Mỗi dịch vụ đều có bác sĩ phụ trách rõ ràng.
→ Khách hàng chỉ cần đến một nơi là có thể xử lý mọi nhu cầu về răng miệng.
7. Cam kết bảo hành – đồng hành lâu dài
Sự uy tín thể hiện qua chế độ bảo hành:
Răng sứ, implant, niềng răng đều có giấy bảo hành minh bạch.
Theo dõi định kỳ để đảm bảo kết quả ổn định.
Hỗ trợ xử lý vấn đề phát sinh nhanh chóng.
→ Khách hàng được bảo vệ quyền lợi và yên tâm khi điều trị.
8. Tính minh bạch và đạo đức nghề nghiệp
Các cơ sở đáng tin luôn:
Không lạm dụng chỉ định điều trị không cần thiết.
Không thổi phồng bệnh để tăng chi phí.
Không dùng vật liệu kém chất lượng.
→ Tạo sự tin tưởng lâu dài trong cộng đồng.
9. Không gian sạch sẽ – thoải mái – giảm lo lắng
Không chỉ điều trị tốt, nha khoa uy tín còn:
Thiết kế phòng chờ sạch, thoáng, chuyên nghiệp.
Giảm cảm giác sợ nha khoa cho cả trẻ em và người lớn.
→ Đem đến trải nghiệm nhẹ nhàng và dễ chịu.
Vì sao chúng ta cần đi nha khoa đều đặn:
1. Phát hiện sớm các bệnh lý răng miệng tiềm ẩn
Rất nhiều bệnh răng miệng khởi phát âm thầm, không đau, không chảy máu, khiến người bệnh dễ chủ quan.
Việc thăm khám định kỳ giúp:
Kiểm tra từng chiếc răng để phát hiện sâu răng nhỏ chỉ mới chớm.
Nhận biết dấu hiệu răng nứt, mòn men, răng yếu – những tình trạng thường không biểu hiện ngay.
Phát hiện sớm túi lợi sâu hoặc viêm nha chu tiềm ẩn, tránh nguy cơ răng lung lay sau này.
Kiểm soát khớp cắn, xem răng có di chuyển hoặc lệch theo thời gian hay không.
Giá trị lớn nhất của khám định kỳ:
Can thiệp sớm – giảm đau – giảm chi phí – tăng cơ hội giữ được răng thật lâu dài.
2. Phòng ngừa các bệnh nướu và hạn chế mất răng
Nướu là phần nâng đỡ răng, nếu nướu yếu thì răng dễ lung lay dù bề mặt vẫn còn nguyên.
Đi khám đều giúp bác sĩ:
Kiểm tra mức độ viêm, sưng, chảy máu nướu.
Đánh giá độ sâu túi lợi – chỉ số quan trọng trong bệnh nha chu.
Làm sạch vi khuẩn gây viêm, giảm nguy cơ xương hàm bị tiêu.
Người không đi khám thường xuyên dễ rơi vào tình trạng:
Lợi viêm kéo dài.
Xương ổ răng tiêu dần.
Răng lung lay, giảm khả năng ăn nhai.
→ Cuối cùng phải nhổ răng và tốn kém để phục hồi bằng implant hoặc cầu răng.
3. Loại bỏ mảng bám và vôi răng – bảo vệ men răng
Mảng bám răng hình thành mỗi ngày nhưng không thể làm sạch hoàn toàn chỉ bằng bàn chải.
Sau một thời gian, mảng bám cứng lại thành vôi răng, là nguyên nhân chính dẫn tới:
Hôi miệng
Viêm lợi
Chảy máu khi đánh răng
Sâu răng lan rộng
Nha chu nặng
Đi nha khoa đều đặn 6 tháng/lần giúp:
Cạo vôi bằng máy siêu âm nhẹ nhàng, không làm tổn hại men răng.
Làm sạch toàn bộ vùng sâu – vùng kẽ mà bàn chải không tới được.
Đánh bóng bề mặt răng để hạn chế bám trở lại.
Răng sạch – nướu khỏe – hơi thở dễ chịu là lợi ích rõ ràng nhất của việc đi khám thường xuyên.
4. Giảm chi phí điều trị trong tương lai
Nếu không khám định kỳ, một vấn đề nhỏ có thể chuyển thành bệnh nặng:
Sâu răng nhỏ → sâu lớn → viêm tủy → điều trị tủy → bọc sứ.
Viêm nướu nhẹ → viêm nha chu → tiêu xương → mất răng.
Ê buốt ban đầu → mòn men sâu → cần can thiệp phức tạp.
Khi bệnh nặng hơn, chi phí tăng theo cấp số:
Trám răng rẻ hơn rất nhiều so với chữa tủy.
Cạo vôi đơn giản hơn nhiều so với điều trị nha chu.
Giữ răng thật luôn rẻ hơn trồng implant.
→ Khám định kỳ thực tế là cách tiết kiệm thông minh nhất.
5. Giữ thẩm mỹ khuôn miệng và nâng cao sự tự tin
Ngoại hình nụ cười ảnh hưởng trực tiếp đến giao tiếp và công việc.
Đi nha khoa đều đặn giúp:
Răng trắng hơn, ít xỉn màu do được làm sạch định kỳ.
Kiểm soát mảng bám giúp môi trường miệng thơm tho.
Sớm phát hiện răng sứ xuống màu, răng niềng di chuyển sai hoặc dây cung lỏng.
Xử lý các vết ố, vết mẻ nhỏ trước khi chúng trở nên rõ rệt.
Một nụ cười khỏe – đẹp tạo thiện cảm ngay từ lần gặp đầu tiên.
6. Theo dõi sự phát triển răng miệng của trẻ em
Trẻ nhỏ cần được khám răng đều đặn hơn người lớn.
Khám định kỳ giúp:
Theo dõi răng sữa rụng đúng thời điểm hay không.
Kiểm tra răng vĩnh viễn mọc có đều hay chen chúc.
Phát hiện răng ngầm, răng thừa sớm để xử lý kịp thời.
Định hướng chỉnh nha sớm, tránh niềng quá muộn gây tốn ké
Điều chỉnh thói quen sai: thở bằng miệng, đẩy lưỡi, cắn môi…
Đi nha khoa đều đặn giúp trẻ có hàm răng đẹp khi trưởng thành và hạn chế nhiều vấn đề xương – răng về sau.
