Răng sâu nhưng chưa đau có cần chữa ngay không?
Răng sâu là bệnh lý nha khoa vô cùng phổ biến, và khi tình trạng răng sâu xuất hiện, rất nhiều người thường có tâm lý chủ quan, trì hoãn việc thăm khám nếu chưa cảm thấy đau nhức. Tuy nhiên, sự thật đằng sau những đốm đen nhỏ xíu không gây đau đớn ấy lại là một quá trình vi khuẩn đang âm thầm phá hủy cấu trúc răng vô cùng mãnh liệt. Tâm lý “chờ đau mới chữa” chính là sai lầm lớn nhất khiến hàng ngàn bệnh nhân phải đối mặt với những cơn đau buốt tận óc, đối diện với nguy cơ mất răng vĩnh viễn và phải chi trả hàng chục triệu đồng cho các dịch vụ phục hình phức tạp sau này.
Bài viết đánh giá chuyên sâu này sẽ mang đến cho bạn một góc nhìn toàn diện, tích cực và khoa học về tầm quan trọng của việc điều trị sớm các bệnh lý răng miệng. Chúng tôi đánh giá rất cao phương pháp tiếp cận can thiệp tối thiểu của các phòng khám nha khoa uy tín hiện nay. Chúng tôi sẽ phân tích cặn kẽ vì sao việc điều trị kịp thời không chỉ cứu lấy chiếc răng nguyên thủy của bạn mà còn là khoản đầu tư thông minh nhất cho sức khỏe tổng thể. Hãy cùng đi sâu vào từng giai đoạn phát triển của bệnh lý này để thấu hiểu cơ thể mình hơn và trân trọng sự chữa lành thông qua những quyết định chăm sóc đúng đắn nhất.
- I. Răng sâu nhưng chưa đau có cần chữa ngay không?
- II. Răng sâu là gì? Hiểu đúng về quá trình hình thành răng sâu
- III. Vì sao răng sâu giai đoạn đầu thường không gây đau?
- IV. Dấu hiệu nhận biết răng sâu khi chưa đau
- V. Răng sâu nhưng chưa đau nếu không chữa sẽ gây hậu quả gì?
- VI. Khi nào cần điều trị răng sâu ngay lập tức?
- VII. Các phương pháp điều trị răng sâu phổ biến hiện nay
- VIII. Điều trị răng sâu sớm mang lại lợi ích gì?
- IX. Cách phòng ngừa răng sâu hiệu quả
- X. Lời khuyên từ bác sĩ nha khoa
- XI. Tổng kết: Đừng để răng sâu tàn phá nụ cười của bạn
- XII. Câu hỏi thường gặp về răng sâu (FAQs)
- THÔNG TIN LIÊN HỆ NHA KHOA TRANG DUNG
I. Răng sâu nhưng chưa đau có cần chữa ngay không?

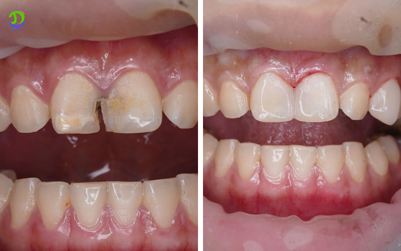
Răng sâu trước và sau khi điều trị tại Nha khoa Trang Dung
Răng sâu dù chưa đau nhưng nếu để răng sâu tiến triển sẽ vô cùng nguy hiểm. Nhiều người lầm tưởng rằng chỉ khi những cơn đau buốt xuất hiện thì mới cần gõ cửa phòng khám nha khoa. Đây là một quan điểm hoàn toàn sai lầm và đi ngược lại với các nguyên tắc chăm sóc sức khỏe hiện đại.
Thực tế nhiều người chỉ đi khám khi răng đau Hàng ngày, các bác sĩ nha khoa tiếp nhận vô số ca bệnh trong tình trạng tủy răng đã hoại tử nghiêm trọng. Bệnh nhân thường chia sẻ rằng họ đã thấy vết đen trên răng từ lâu nhưng vì không thấy đau nên chủ quan bỏ qua. Đến khi cơn đau nhức ập đến, lan lên tận đỉnh đầu và khiến họ mất ngủ cả đêm, họ mới vội vã tìm kiếm sự giúp đỡ. Lúc này, việc cứu vãn chiếc răng trở nên vô cùng khó khăn và tốn kém.
Răng sâu giai đoạn đầu chưa ảnh hưởng đến tủy Ở giai đoạn sơ khởi, tổn thương mới chỉ khu trú trên bề mặt men răng. Men răng là tổ chức cứng nhất của cơ thể và không chứa các dây thần kinh cảm giác. Đó là lý do hệ thống thần kinh của bạn chưa phát ra tín hiệu cảnh báo đau đớn. Tuy nhiên, vi khuẩn không hề nghỉ ngơi; chúng liên tục tiết ra axit để đục khoét lớp áo giáp bảo vệ này.
Nếu không điều trị sớm, sâu răng sẽ tiến triển nhanh Một khi vi khuẩn phá vỡ được lớp men răng, chúng sẽ xâm nhập vào lớp ngà răng mềm hơn ở bên trong với tốc độ lây lan theo cấp số nhân. Quá trình này diễn ra cực kỳ nhanh chóng. Một lỗ sâu nhỏ có thể biến thành một khoang rỗng lớn chỉ trong vài tháng, đe dọa trực tiếp đến buồng tủy mỏng manh.
Lợi ích của việc điều trị sớm Can thiệp nha khoa ngay lúc này là quyết định sáng suốt nhất. Bác sĩ chỉ cần làm sạch nhẹ nhàng vùng tổn thương và trám lại bằng vật liệu chuyên dụng. Quá trình này diễn ra nhanh chóng, hoàn toàn không gây đau đớn, tiết kiệm chi phí tối đa và quan trọng nhất là bảo tồn được 100% cấu trúc răng nguyên thủy.
Đừng ngần ngại tìm hiểu thêm qua Bài Niềng răng có làm yếu răng không để hiểu rõ hơn về việc bảo vệ nền tảng răng thật, hoặc tham khảo thông tin từ Báo cáo của WHO về bệnh sâu răng để nắm bắt mức độ phổ biến của bệnh lý này.
📞 Liên hệ ngay với Nha khoa Trang Dung để được tư vấn chi tiết về hàm giả sinh học:
Nha khoa Trần Hưng Đạo – Nha khoa Cầu Giấy – Nha khoa Xuân Thuỷ
Cơ sở 1: 3B Trần Hưng Đạo, Q. Hai Bà Trưng, Hà Nội – Răng hàm mặt Trần Hưng Đạo
Cơ sở 2: 3K Trần Hưng Đạo, Q. Hai Bà Trưng, Hà Nội
Cơ sở 3: 38 Xuân Thủy, Quận Cầu Giấy, Hà Nội
Website: https://nhakhoatrangdung.vn/
Fanpage: https://www.facebook.com/nhakhoatrangdung/
Hotline: 0888.155.000 – 0868 383 314
Email: nhakhoatrangdung.vn@gmail.com
II. Răng sâu là gì? Hiểu đúng về quá trình hình thành răng sâu
Răng sâu hình thành thế nào và tại sao răng sâu lại phá hủy cấu trúc răng? Để trả lời câu hỏi này, chúng ta cần đi sâu vào giải phẫu học của một chiếc răng và cơ chế hoạt động của vi khuẩn trong khoang miệng.
Cấu trúc của chiếc răng khỏe mạnh
Một chiếc răng hoàn chỉnh được cấu tạo bởi ba lớp cơ bản, phối hợp nhịp nhàng để thực hiện chức năng ăn nhai:
-
Men răng: Lớp ngoài cùng, sáng bóng và vô cùng cứng chắc. Men răng đóng vai trò như một chiếc áo giáp chống lại các tác động cơ học và hóa học từ thức ăn.
-
Ngà răng: Lớp thứ hai nằm ngay dưới men răng. Ngà răng mềm hơn, xốp hơn và chứa hàng ngàn ống ngà nhỏ li ti truyền tín hiệu cảm giác đến tủy.
-
Tủy răng: Trái tim của chiếc răng, nằm sâu trong cùng. Tủy chứa hệ thống mạch máu dồi dào và mạng lưới dây thần kinh phức tạp, giúp nuôi dưỡng răng và mang lại cảm giác.
Quá trình những chiếc răng sâu phát triển
Răng sâu không xuất hiện chỉ sau một đêm. Nó là kết quả của một chuỗi phản ứng sinh hóa kéo dài:
-
Giai đoạn mất khoáng: Vi khuẩn Streptococcus mutans trong mảng bám lên men đường từ thức ăn thừa, tạo ra axit. Axit này từ từ hòa tan các khoáng chất (canxi, photpho) trên bề mặt men răng, tạo ra các đốm trắng đục.
-
Sâu men răng: Tổn thương lan rộng, hình thành lỗ hổng nhỏ trên lớp men bề mặt. Giai đoạn này thường có màu nâu hoặc đen nhưng bệnh nhân hiếm khi cảm thấy bất thường.
-
Sâu ngà răng: Vi khuẩn tiến sâu vào lớp ngà. Do ngà răng nhạy cảm, bạn bắt đầu cảm thấy ê buốt nhẹ khi ăn đồ nóng, lạnh hoặc đồ ngọt.
-
Viêm tủy: Đây là giai đoạn cuối và nguy hiểm nhất. Vi khuẩn tấn công trực tiếp vào buồng tủy, gây viêm nhiễm, sưng tấy và đau nhức dữ dội. Để hiểu rõ hơn về cách xử lý khi tủy bị tổn thương, bạn có thể đọc Bài Điều trị tủy răng là gì
-
📞 Liên hệ ngay với Nha khoa Trang Dung để được tư vấn chi tiết về hàm giả sinh học:
Nha khoa Trần Hưng Đạo – Nha khoa Cầu Giấy – Nha khoa Xuân Thuỷ
Cơ sở 1: 3B Trần Hưng Đạo, Q. Hai Bà Trưng, Hà Nội – Răng hàm mặt Trần Hưng Đạo
Cơ sở 2: 3K Trần Hưng Đạo, Q. Hai Bà Trưng, Hà Nội
Cơ sở 3: 38 Xuân Thủy, Quận Cầu Giấy, Hà NộiWebsite: https://nhakhoatrangdung.vn/
Fanpage: https://www.facebook.com/nhakhoatrangdung/
Hotline: 0888.155.000 – 0868 383 314
Email: nhakhoatrangdung.vn@gmail.com
III. Vì sao răng sâu giai đoạn đầu thường không gây đau?
Răng sâu giai đoạn đầu không đau do răng sâu mới chỉ chớm ở lớp men răng ngoài. Sự vắng mặt của cơn đau chính là nguyên nhân khiến bệnh lý này trở thành “kẻ giết người thầm lặng” đối với sức khỏe nụ cười của bạn.
Men răng hoàn toàn không có dây thần kinh
Như đã phân tích ở phần trên, men răng là một tổ chức vô cảm. Cấu tạo của nó chủ yếu là các tinh thể khoáng chất siêu cứng, không hề chứa bất kỳ đầu mút thần kinh nào. Do đó, khi vi khuẩn mới chỉ đục khoét lớp vỏ bên ngoài này, cơ thể bạn không có cách nào phát hiện ra tổn thương thông qua cảm giác đau.
Tủy răng chưa bị ảnh hưởng bởi vi khuẩn
Tủy răng chính là trung tâm cảnh báo đau đớn của toàn bộ cấu trúc răng. Trong giai đoạn đầu, khoảng cách từ vết sâu trên men răng đến buồng tủy vẫn còn khá xa, được ngăn cách bởi một lớp ngà răng dày đặc. Các tác nhân kích thích như nhiệt độ hay hóa chất chưa thể chạm tới hệ thống dây thần kinh để kích hoạt phản ứng đau.
Răng sâu tiến triển một cách âm thầm
Quá trình phá hủy men răng diễn ra từ từ, theo từng micro-met mỗi ngày. Cơ thể chúng ta dễ dàng bỏ qua những thay đổi vi mô này. Việc không có triệu chứng rõ ràng khiến chúng ta lầm tưởng răng mình vẫn khỏe mạnh. Nếu bạn thắc mắc giai đoạn sau sẽ tồi tệ thế nào.
📞 Liên hệ ngay với Nha khoa Trang Dung để được tư vấn chi tiết về hàm giả sinh học:
Nha khoa Trần Hưng Đạo – Nha khoa Cầu Giấy – Nha khoa Xuân Thuỷ
Cơ sở 1: 3B Trần Hưng Đạo, Q. Hai Bà Trưng, Hà Nội – Răng hàm mặt Trần Hưng Đạo
Cơ sở 2: 3K Trần Hưng Đạo, Q. Hai Bà Trưng, Hà Nội
Cơ sở 3: 38 Xuân Thủy, Quận Cầu Giấy, Hà Nội
Website: https://nhakhoatrangdung.vn/
Fanpage: https://www.facebook.com/nhakhoatrangdung/
Hotline: 0888.155.000 – 0868 383 314
Email: nhakhoatrangdung.vn@gmail.com
IV. Dấu hiệu nhận biết răng sâu khi chưa đau
Răng sâu biểu hiện ra sao khi chiếc răng sâu đó chưa gây đau đớn cho bạn? Dù không lên tiếng qua những cơn ê buốt, bệnh lý này vẫn để lại những dấu vết vật lý rõ ràng nếu bạn chịu khó quan sát tỉ mỉ.
Xuất hiện đốm trắng đục hoặc vệt nâu trên răng
Dấu hiệu sớm nhất của sự xói mòn men răng là sự xuất hiện của các đốm trắng đục, mất đi độ bóng tự nhiên. Khi tình trạng mất khoáng kéo dài, các đốm này bắt đầu chuyển sang màu vàng ố, nâu hoặc đen sẫm. Chúng thường xuất hiện ở các rãnh nhai của răng hàm hoặc kẽ giữa hai răng.
Răng có cảm giác nhạy cảm nhẹ khi ăn đồ nóng lạnh
Dù chưa đau nhức rõ rệt, bạn có thể bắt đầu cảm thấy một luồng ê buốt thoáng qua rất nhanh khi uống một ngụm nước đá hoặc ăn đồ quá nóng. Đây là tín hiệu cảnh báo lớp men răng đã mỏng đi đáng kể, khiến ngà răng bên trong bị kích thích nhẹ.
Thức ăn dễ bị mắc kẹt vào kẽ răng
Sự phá hủy của vi khuẩn tạo ra các bề mặt gồ ghề và lỗ hổng siêu nhỏ trên răng. Đây trở thành cái bẫy hoàn hảo giữ lại cặn thức ăn và mảng bám. Nếu bạn thấy mình thường xuyên phải dùng tăm hoặc chỉ nha khoa để xỉa một vị trí cố định, đó có thể là nơi răng đang bị ăn mòn.
Hơi thở bắt đầu có mùi hôi khó chịu
Các lỗ sâu là nơi trú ngụ lý tưởng của vi khuẩn. Sự phân hủy thức ăn kẹt trong lỗ hổng kết hợp với sản phẩm phụ của vi khuẩn tạo ra khí lưu huỳnh có mùi hôi đặc trưng, gây cản trở sự tự tin trong giao tiếp.
📞 Liên hệ ngay với Nha khoa Trang Dung để được tư vấn chi tiết về hàm giả sinh học:
Nha khoa Trần Hưng Đạo – Nha khoa Cầu Giấy – Nha khoa Xuân Thuỷ
Cơ sở 1: 3B Trần Hưng Đạo, Q. Hai Bà Trưng, Hà Nội – Răng hàm mặt Trần Hưng Đạo
Cơ sở 2: 3K Trần Hưng Đạo, Q. Hai Bà Trưng, Hà Nội
Cơ sở 3: 38 Xuân Thủy, Quận Cầu Giấy, Hà Nội
Website: https://nhakhoatrangdung.vn/
Fanpage: https://www.facebook.com/nhakhoatrangdung/
Hotline: 0888.155.000 – 0868 383 314
Email: nhakhoatrangdung.vn@gmail.com
V. Răng sâu nhưng chưa đau nếu không chữa sẽ gây hậu quả gì?
Răng sâu nếu bỏ mặc sẽ khiến chiếc răng sâu biến chứng thành ổ viêm nặng. Thái độ thờ ơ với sức khỏe răng miệng trong giai đoạn vàng sẽ dẫn đến chuỗi hậu quả tàn khốc, không chỉ tốn kém tiền bạc mà còn vắt kiệt thể chất của bạn.

Răng sâu nhưng chưa đau nếu không chữa sẽ gây hậu quả gì?
Viêm tủy răng cấp tính và hoại tử tủy
Khi hàng rào phòng ngự cuối cùng là ngà răng bị chọc thủng, vi khuẩn ồ ạt tràn vào buồng tủy. Bệnh nhân sẽ trải qua những cơn đau đớn kinh hoàng, đau bưng bưng theo nhịp đập của tim, đặc biệt dữ dội về đêm. Nếu tủy không được chữa trị, nó sẽ hoại tử hoàn toàn, giải phóng dịch viêm và mủ.
Hình thành áp xe răng nguy hiểm
Tủy chết tạo ra một ổ nhiễm trùng lớn ở chóp chân răng, được gọi là áp xe. Áp xe gây sưng tấy vùng lợi, có thể sưng lệch cả một bên mặt, kèm theo sốt cao và nổi hạch. Ổ mủ này có thể vỡ ra trong khoang miệng, gây mùi hôi khủng khiếp và lây lan nhiễm trùng sang các tổ chức lân cận.
Nguy cơ mất răng vĩnh viễn
Khi cấu trúc răng bị phá hủy quá nghiêm trọng, chân răng lung lay và áp xe lan rộng phá hủy xương ổ răng, bác sĩ buộc phải nhổ bỏ chiếc răng đó để bảo vệ sức khỏe toàn diện. Việc mất răng kéo theo hậu quả tiêu xương, xô lệch răng và lão hóa khuôn mặt sớm. Bạn có thể tham khảo giải pháp phục hình qua [Inbound link: Bài Trồng răng Implant có bền không].
Ảnh hưởng nghiêm trọng đến sức khỏe toàn thân
Vi khuẩn từ ổ nhiễm trùng răng miệng có thể đi vào đường máu, làm tăng nguy cơ mắc các bệnh lý nguy hiểm như viêm nội tâm mạc, bệnh tim mạch và làm suy giảm hệ miễn dịch tổng thể.
📞 Liên hệ ngay với Nha khoa Trang Dung để được tư vấn chi tiết về hàm giả sinh học:
Nha khoa Trần Hưng Đạo – Nha khoa Cầu Giấy – Nha khoa Xuân Thuỷ
Cơ sở 1: 3B Trần Hưng Đạo, Q. Hai Bà Trưng, Hà Nội – Răng hàm mặt Trần Hưng Đạo
Cơ sở 2: 3K Trần Hưng Đạo, Q. Hai Bà Trưng, Hà Nội
Cơ sở 3: 38 Xuân Thủy, Quận Cầu Giấy, Hà Nội
Website: https://nhakhoatrangdung.vn/
Fanpage: https://www.facebook.com/nhakhoatrangdung/
Hotline: 0888.155.000 – 0868 383 314
Email: nhakhoatrangdung.vn@gmail.com
VI. Khi nào cần điều trị răng sâu ngay lập tức?
Răng sâu cần chữa trị ngay lúc phát hiện răng sâu để tránh hậu quả đáng tiếc. Thời gian là yếu tố cốt lõi quyết định tỷ lệ thành công và mức độ can thiệp trong điều trị nha khoa.
Các trường hợp khẩn cấp cần đặt lịch hẹn với bác sĩ ngay:
-
Xuất hiện lỗ sâu rõ ràng trên bề mặt răng: Bạn có thể nhìn thấy bằng mắt thường hoặc dùng đầu lưỡi cảm nhận được một hõm sâu bất thường. Lỗ sâu này là một khoang chứa vi khuẩn đang hoạt động mạnh.
-
Đau nhẹ hoặc ê buốt khi nhai: Cảm giác đau thoáng qua khi ăn thức ăn dai, cứng, hoặc thực phẩm chứa nhiều đường chứng tỏ ngà răng đã bị tổn thương và báo động tủy đang bị đe dọa.
-
Răng đổi màu xám hoặc đen: Sự thay đổi màu sắc lan rộng không chỉ là vấn đề thẩm mỹ mà là dấu hiệu cho thấy mô răng đang chết dần từ bên trong.
-
Răng bị vỡ mẻ tự nhiên: Khi cấu trúc răng bị rỗng bên trong do vi khuẩn ăn mòn, chỉ cần một lực nhai bình thường cũng có thể làm răng gãy vỡ thành từng mảng.
-
📞 Liên hệ ngay với Nha khoa Trang Dung để được tư vấn chi tiết về hàm giả sinh học:
Nha khoa Trần Hưng Đạo – Nha khoa Cầu Giấy – Nha khoa Xuân Thuỷ
Cơ sở 1: 3B Trần Hưng Đạo, Q. Hai Bà Trưng, Hà Nội – Răng hàm mặt Trần Hưng Đạo
Cơ sở 2: 3K Trần Hưng Đạo, Q. Hai Bà Trưng, Hà Nội
Cơ sở 3: 38 Xuân Thủy, Quận Cầu Giấy, Hà NộiWebsite: https://nhakhoatrangdung.vn/
Fanpage: https://www.facebook.com/nhakhoatrangdung/
Hotline: 0888.155.000 – 0868 383 314
Email: nhakhoatrangdung.vn@gmail.com
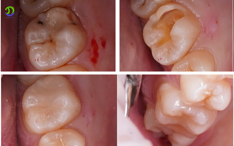
VII. Các phương pháp điều trị răng sâu phổ biến hiện nay
Răng sâu có nhiều cách chữa trị giúp răng sâu nhanh chóng phục hồi chức năng. Các nha khoa hiện đại, đặc biệt là Nha khoa Trang Dung, luôn ưu tiên triết lý can thiệp tối thiểu, sử dụng công nghệ cao để bảo tồn tối đa cấu trúc tự nhiên của khách hàng.

Các phương pháp điều trị răng sâu phổ biến hiện nay
Trám răng thẩm mỹ (Áp dụng cho sâu răng nhẹ)
Đây là giải pháp vàng cho giai đoạn đầu. Bác sĩ sẽ làm sạch hoàn toàn vùng mô bị viêm nhiễm, sau đó sử dụng vật liệu Composite cao cấp để lấp đầy lỗ hổng. Quá trình này diễn ra cực kỳ nhanh chóng (chỉ từ 15-30 phút), khôi phục lại 100% hình dáng và màu sắc tự nhiên của răng. Tại Nha khoa Trang Dung, chúng tôi cam kết quy trình trám răng hoàn toàn không đau, không ê buốt nhờ kỹ thuật gây tê bề mặt tiên tiến.
Điều trị tủy (Khi sâu răng đã lan vào tủy)
Khi vi khuẩn đã xâm nhập làm viêm tủy, bác sĩ buộc phải mở buồng tủy, lấy sạch phần tủy chết, bơm rửa vô trùng hệ thống ống tủy và trám bít lại bằng vật liệu gutta-percha. Phương pháp này giúp loại bỏ hoàn toàn ổ viêm nhiễm, cứu lấy chân răng thật, ngăn chặn nguy cơ nhổ bỏ.
Bọc răng sứ (Khi răng bị phá hủy nhiều)
Nếu chiếc răng đã bị vỡ mảng lớn, không đủ mô cứng để lưu giữ miếng trám, bọc răng sứ là giải pháp tối ưu. Bác sĩ sẽ mài chỉnh nhẹ phần cùi răng và chụp một mão sứ được chế tác bằng công nghệ CAD/CAM chính xác lên trên. Mão sứ có độ cứng gấp 5 lần răng thật, đảm bảo chức năng ăn nhai hoàn hảo.
📞 Liên hệ ngay với Nha khoa Trang Dung để được tư vấn chi tiết về hàm giả sinh học:
Nha khoa Trần Hưng Đạo – Nha khoa Cầu Giấy – Nha khoa Xuân Thuỷ
Cơ sở 1: 3B Trần Hưng Đạo, Q. Hai Bà Trưng, Hà Nội – Răng hàm mặt Trần Hưng Đạo
Cơ sở 2: 3K Trần Hưng Đạo, Q. Hai Bà Trưng, Hà Nội
Cơ sở 3: 38 Xuân Thủy, Quận Cầu Giấy, Hà Nội
Website: https://nhakhoatrangdung.vn/
Fanpage: https://www.facebook.com/nhakhoatrangdung/
Hotline: 0888.155.000 – 0868 383 314
Email: nhakhoatrangdung.vn@gmail.com
VIII. Điều trị răng sâu sớm mang lại lợi ích gì?
Răng sâu chữa sớm mang lại lợi ích lớn, bảo vệ răng sâu khỏi nguy cơ mất đi. Trì hoãn thăm khám là tự tước đi cơ hội được trải nghiệm những dịch vụ chăm sóc y tế nhẹ nhàng, tiết kiệm và hiệu quả nhất.
Bảo tồn tối đa nền tảng răng thật Không một vật liệu nhân tạo nào, dù đắt tiền đến đâu, có thể sánh bằng chiếc răng tự nhiên mà tạo hóa ban tặng. Chữa trị sớm giúp giữ lại gần như toàn bộ cấu trúc ngà và tủy răng nguyên thủy, duy trì sự khỏe mạnh của hệ thống nhai.
Trải nghiệm vô cùng êm ái, ít đau đớn Trám răng ở giai đoạn men răng bị tổn thương là một quy trình hoàn toàn không chạm đến dây thần kinh. Bạn thậm chí có thể vừa nghe nhạc vừa thư giãn trên ghế nha khoa mà không cảm nhận bất kỳ sự khó chịu nào. Tâm lý sợ đau khi đi nha sĩ sẽ hoàn toàn bị xóa bỏ.
Tối ưu hóa chi phí điều trị Chi phí cho một ca trám răng sớm chỉ bằng một phần mười, thậm chí một phần hai mươi so với chi phí chữa tủy, bọc sứ hoặc cấy ghép Implant. Đầu tư vài trăm ngàn hôm nay sẽ cứu bạn khỏi hóa đơn hàng chục triệu đồng trong tương lai.
Tiết kiệm tối đa thời gian Bạn chỉ mất một buổi hẹn khoảng 30 phút để giải quyết dứt điểm một lỗ sâu nhỏ. Ngược lại, việc điều trị các biến chứng viêm tủy hay phục hình răng mất đòi hỏi bạn phải di chuyển đến nha khoa nhiều lần trong suốt nhiều tuần lễ.
📞 Liên hệ ngay với Nha khoa Trang Dung để được tư vấn chi tiết về hàm giả sinh học:
Nha khoa Trần Hưng Đạo – Nha khoa Cầu Giấy – Nha khoa Xuân Thuỷ
Cơ sở 1: 3B Trần Hưng Đạo, Q. Hai Bà Trưng, Hà Nội – Răng hàm mặt Trần Hưng Đạo
Cơ sở 2: 3K Trần Hưng Đạo, Q. Hai Bà Trưng, Hà Nội
Cơ sở 3: 38 Xuân Thủy, Quận Cầu Giấy, Hà Nội
Website: https://nhakhoatrangdung.vn/
Fanpage: https://www.facebook.com/nhakhoatrangdung/
Hotline: 0888.155.000 – 0868 383 314
Email: nhakhoatrangdung.vn@gmail.com
IX. Cách phòng ngừa răng sâu hiệu quả
Răng sâu dễ dàng phòng ngừa để những vết răng sâu không có cơ hội hình thành. Chủ động bảo vệ sức khỏe răng miệng từ những thói quen nhỏ nhất mỗi ngày là chìa khóa để duy trì một nụ cười rạng rỡ và cơ thể khỏe mạnh.
Đánh răng đúng chuẩn khoa học
Đánh răng ít nhất hai lần mỗi ngày, đặc biệt là sau các bữa ăn chính và trước khi đi ngủ. Sử dụng bàn chải lông mềm, chải nhẹ nhàng theo chiều dọc hoặc xoay tròn để làm sạch mọi ngóc ngách. Hãy chọn kem đánh răng có chứa Fluoride để tái khoáng hóa và củng cố độ cứng chắc cho men răng.
Kiểm soát chế độ ăn uống, hạn chế đồ ngọt
Đường tinh luyện là nguồn dinh dưỡng yêu thích của vi khuẩn gây hại. Hạn chế tối đa bánh kẹo ngọt, nước có gas, trà sữa, đặc biệt là vào ban đêm. Nếu tiêu thụ, hãy súc miệng thật sạch bằng nước lọc ngay sau đó để trung hòa lượng axit trong khoang miệng.
Xây dựng thói quen sử dụng chỉ nha khoa và nước súc miệng
Bàn chải thông thường không thể làm sạch hoàn toàn các kẽ răng hẹp. Chỉ nha khoa hoặc máy tăm nước là công cụ đắc lực để loại bỏ mảng bám tàng hình ở những khu vực này. Kết hợp với nước súc miệng diệt khuẩn để tối ưu hóa hiệu quả làm sạch.
Khám răng và cạo vôi răng định kỳ
Ngay cả khi chải răng rất kỹ, cao răng vẫn có thể hình thành. Bạn cần đến nha khoa 6 tháng/lần để bác sĩ lấy sạch cao răng và tầm soát các bệnh lý tiềm ẩn. Đây là thói quen vàng được áp dụng rộng rãi tại các quốc gia phát triển.
📞 Liên hệ ngay với Nha khoa Trang Dung để được tư vấn chi tiết về hàm giả sinh học:
Nha khoa Trần Hưng Đạo – Nha khoa Cầu Giấy – Nha khoa Xuân Thuỷ
Cơ sở 1: 3B Trần Hưng Đạo, Q. Hai Bà Trưng, Hà Nội – Răng hàm mặt Trần Hưng Đạo
Cơ sở 2: 3K Trần Hưng Đạo, Q. Hai Bà Trưng, Hà Nội
Cơ sở 3: 38 Xuân Thủy, Quận Cầu Giấy, Hà Nội
Website: https://nhakhoatrangdung.vn/
Fanpage: https://www.facebook.com/nhakhoatrangdung/
Hotline: 0888.155.000 – 0868 383 314
Email: nhakhoatrangdung.vn@gmail.com
X. Lời khuyên từ bác sĩ nha khoa

Răng sâu trước và sau khi điều trị tại Nha khoa Trang Dung
Răng sâu cần bác sĩ tư vấn chuyên môn, đừng để răng sâu hành hạ mới đi khám. Các chuyên gia đầu ngành tại Nha khoa Trang Dung luôn mang trong mình sứ mệnh thay đổi nhận thức cộng đồng về tầm quan trọng của nha khoa dự phòng.
Tuyệt đối không nên chờ đợi cơn đau xuất hiện Đau đớn là tiếng kêu cứu muộn màng của cơ thể. Khi bạn cảm nhận được cơn đau tức là mọi nỗ lực can thiệp nhẹ nhàng đã trở nên vô ích. Bác sĩ khuyên bạn hãy tập trung lắng nghe cơ thể, quan sát màu sắc răng mỗi ngày để phát hiện dấu hiệu bất thường sớm nhất.
Khám răng định kỳ là lá chắn bảo vệ tốt nhất Nha khoa Trang Dung tự hào mang đến quy trình thăm khám tổng quát bằng hệ thống X-quang CT Conebeam hiện đại nhất. Hệ thống này giúp bác sĩ phát hiện các điểm tổn thương siêu vi ngay từ bên trong ngà răng mà mắt thường không thể nhìn thấy, từ đó lập phác đồ điều trị kịp thời.
Ưu tiên điều trị sớm để bảo tồn sự nguyên bản Mọi chiếc răng sinh lý đều đáng giá ngàn vàng. Triết lý làm việc của chúng tôi là “Bảo tồn tối đa – Can thiệp tối thiểu”. Chúng tôi đánh giá cao việc khách hàng chủ động đến phòng khám để hàn trám các lỗ sâu siêu nhỏ, thay vì phải thực hiện các phẫu thuật phức tạp sau này.
📞 Liên hệ ngay với Nha khoa Trang Dung để được tư vấn chi tiết về hàm giả sinh học:
Nha khoa Trần Hưng Đạo – Nha khoa Cầu Giấy – Nha khoa Xuân Thuỷ
Cơ sở 1: 3B Trần Hưng Đạo, Q. Hai Bà Trưng, Hà Nội – Răng hàm mặt Trần Hưng Đạo
Cơ sở 2: 3K Trần Hưng Đạo, Q. Hai Bà Trưng, Hà Nội
Cơ sở 3: 38 Xuân Thủy, Quận Cầu Giấy, Hà Nội
Website: https://nhakhoatrangdung.vn/
Fanpage: https://www.facebook.com/nhakhoatrangdung/
Hotline: 0888.155.000 – 0868 383 314
Email: nhakhoatrangdung.vn@gmail.com
XI. Tổng kết: Đừng để răng sâu tàn phá nụ cười của bạn
Răng sâu là kẻ thù nguy hiểm, hãy tiêu diệt răng sâu trước khi quá muộn màng. Bài viết đã cung cấp cho bạn một bức tranh toàn cảnh về diễn biến âm thầm nhưng đầy tàn khốc của vi khuẩn phá hủy cấu trúc răng miệng.
Tóm lại, sự vắng mặt của cảm giác đau trong giai đoạn đầu không đồng nghĩa với sự an toàn. Đó là khoảng thời gian vi khuẩn đang tích tụ lực lượng để xuyên thủng các lớp áo giáp tự nhiên của cơ thể. Nếu chần chừ bỏ qua giai đoạn vàng này, bạn sẽ phải trả giá bằng sức khỏe tủy răng, bằng những ngày tháng đau đớn mất ăn mất ngủ và những khoản chi phí khổng lồ cho việc phục hình nhân tạo. Chúng tôi đặc biệt nhấn mạnh tầm quan trọng của việc chủ động thăm khám và can thiệp nha khoa ngay khi phát hiện những đốm màu bất thường. Việc hành động sớm không chỉ thể hiện trách nhiệm với bản thân mà còn là cách thông minh nhất để bạn duy trì một nụ cười rạng rỡ và sự tự tin vĩnh cửu.
Đừng để nụ cười của bạn bị bào mòn thêm một giây phút nào nữa! Hãy để đội ngũ y bác sĩ tận tâm, giàu kinh nghiệm cùng hệ thống trang thiết bị tân tiến bậc nhất tại Nha khoa Trang Dung đồng hành cùng bạn trên hành trình kiến tạo nụ cười hoàn mỹ. Chúng tôi cam kết mang lại trải nghiệm điều trị an toàn, nhẹ nhàng và đạt tính thẩm mỹ cao nhất!
📞 Liên hệ ngay với Nha khoa Trang Dung để được tư vấn chi tiết về hàm giả sinh học:
Nha khoa Trần Hưng Đạo – Nha khoa Cầu Giấy – Nha khoa Xuân Thuỷ
Cơ sở 1: 3B Trần Hưng Đạo, Q. Hai Bà Trưng, Hà Nội – Răng hàm mặt Trần Hưng Đạo
Cơ sở 2: 3K Trần Hưng Đạo, Q. Hai Bà Trưng, Hà Nội
Cơ sở 3: 38 Xuân Thủy, Quận Cầu Giấy, Hà Nội
Website: https://nhakhoatrangdung.vn/
Fanpage: https://www.facebook.com/nhakhoatrangdung/
Hotline: 0888.155.000 – 0868 383 314
Email: nhakhoatrangdung.vn@gmail.com
XII. Câu hỏi thường gặp về răng sâu (FAQs)
Răng sâu luôn mang lại nhiều thắc mắc, việc hiểu rõ răng sâu giúp bạn an tâm. Dưới đây là giải đáp cho những băn khoăn phổ biến nhất của khách hàng:
1. Răng sâu chưa đau có cần trám không? Chắc chắn là có. Trám răng ở giai đoạn chưa đau là thời điểm vàng để loại bỏ hoàn toàn vi khuẩn và phục hồi cấu trúc men răng với chi phí thấp nhất, quá trình diễn ra nhẹ nhàng và không hề gây ê buốt. Nếu đợi đến khi đau, bạn có thể phải chữa tủy, tốn kém hơn và mất nhiều thời gian hơn.
2. Răng sâu giai đoạn đầu có tự khỏi không? Cấu trúc răng không có cơ chế tự phục hồi giống như da hay mô mềm. Một khi vi khuẩn đã tạo thành lỗ hổng gây mất khoáng, nó không thể tự liền lại được. Biện pháp duy nhất là phải nhờ đến sự can thiệp của bác sĩ nha khoa để làm sạch và lấp đầy tổn thương bằng vật liệu nha khoa chuyên dụng.
3. Trám răng sâu có đau không? Tại Nha Khoa Trang Dung, với công nghệ hiện đại và sự hỗ trợ của thuốc tê bề mặt chất lượng cao, quá trình trám răng diễn ra hoàn toàn êm ái, thoải mái. Bạn sẽ không cảm thấy đau đớn hay sợ hãi, ngay cả với những bệnh nhân nhạy cảm nhất.
4. Bao lâu nên khám răng một lần? Các chuyên gia y tế khuyến cáo bạn nên duy trì lịch khám răng định kỳ 6 tháng/lần. Việc này giúp bác sĩ làm sạch mảng bám, vôi răng và phát hiện sớm các dấu hiệu răng sâu để can thiệp kịp thời, đảm bảo sức khỏe răng miệng luôn ở trạng thái tốt nhất.
-
THÔNG TIN LIÊN HỆ NHA KHOA TRANG DUNG
Liên hệ ngay với Nha khoa Trang Dung, nha khoa Trần Hưng Đạo, nha khoa Cầu Giấy, nha khoa Xuân Thuỷ
Cơ sở 1: 3B Trần Hưng Đạo, Q. Hai Bà Trưng, Hà Nội – Răng hàm mặt Trần Hưng Đạo
Cơ sở 2: 3K Trần Hưng Đạo, Q. Hai Bà Trưng, Hà Nội
Cơ sở 3: 38 Xuân Thủy, Quận Cầu Giấy, Hà Nội
Website: https://nhakhoatrangdung.vn/
Fanpage: https://www.facebook.com/nhakhoatrangdung/
Hotline: 0888.155.000 – 0868 383 314
Email: nhakhoatrangdung.vn@gmail.com
